در موردی بی‌سابقه در جهان، نای مردی براثر نگه داشتن عطسه سوراخ شد

سه‌شنبه 21 آذر 1402 - 23:15
مطالعه 2 دقیقه
عطسه
اگر شما هم از آن دسته افرادی هستید که گاهی اوقات عطسه خود را نگه می‌دارید، گزارش موردی پزشکی جدید ممکن است موجب شود درباره این کار تجدیدنظر کنید.
تبلیغات

در اولین مورد شناخته‌شده در نوع خود، پس از اینکه مردی تلاش کرد عطسه خود را نگه دارد، پارگی کوچکی در نای او ایجاد شد. این اتفاق عجیب درحالی رخ داد که مرد درحال رانندگی با اتومبیل خود بود و دچار تب یونجه شد. او ناگهان تمایل شدیدی به عطسه پیدا کرد، اما به جای رها کردن عطسه، با فشردن بینی و بستن دهانش جلوی آن را گرفت.

اگر حین عطسه دهان و بینی هر دو بسته باشند، فشار ایجادشده در مجاری هوایی فوقانی می‌تواند به بیش از ۲۰ برابر فشاری برسد که در حالت طبیعی طی عطسه تولید می‌شود. درمورد مرد مورد مطالعه، فشار چنان زیاد بود که سوراخ دو در دو میلی‌متری را در نای او ایجاد کرد.

به گزارش لایوساینس، وقتی مرد به اورژانس رسید درد شدیدی داشت، دو سمت گردنش متورم شده بود و به سختی می‌توانست آن را تکان دهد. وقتی پزشکان گردن وی را معاینه کردند، متوجه صدای ترق ترق ضعیفی شدند. با‌این‌حال، مرد دچار مشکل تنفسی، بلع یا تکلم نبود.

پارگی نای
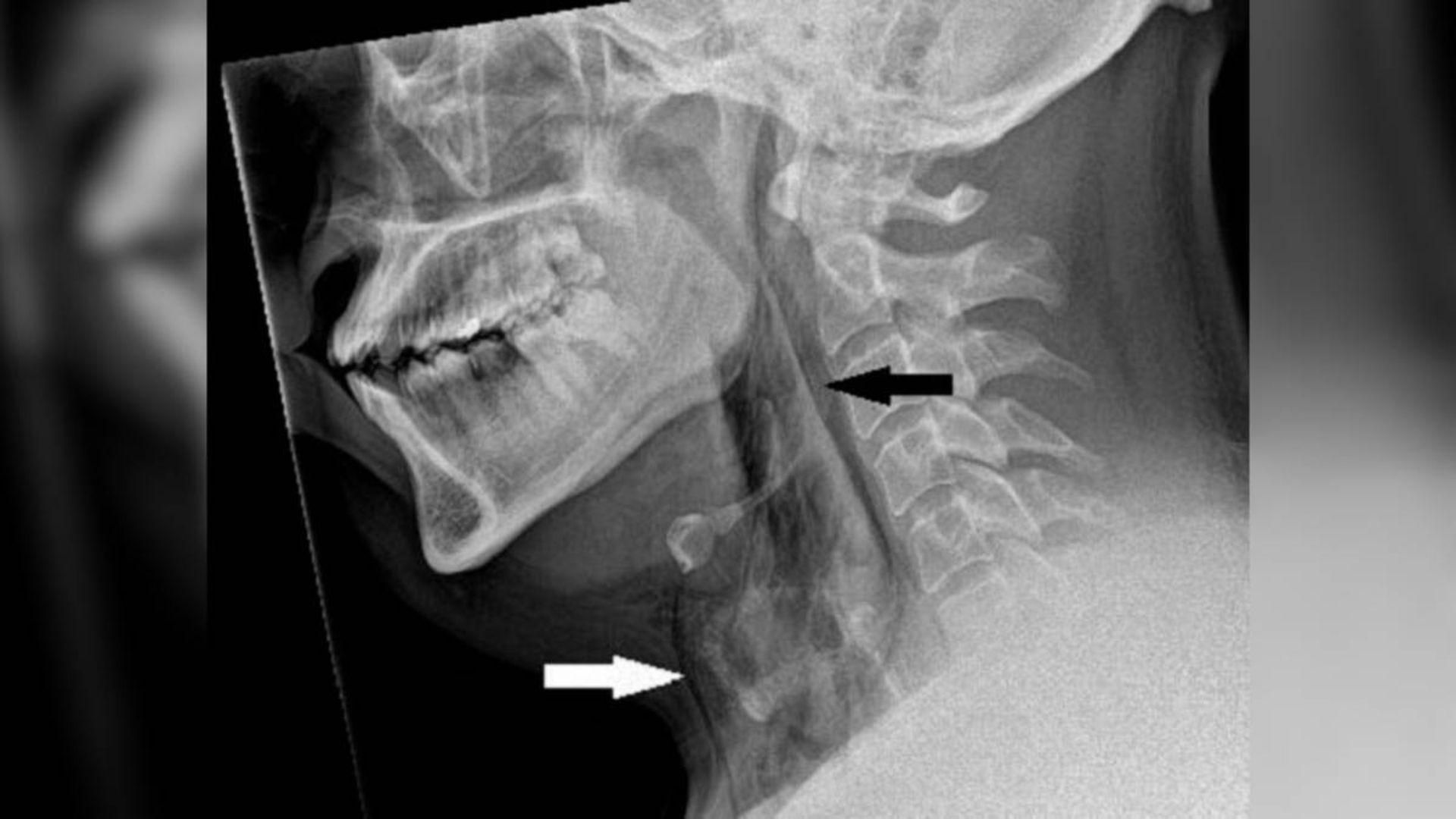
تصویربرداری اشعه ایکس از گردن بیمار نشان داد حباب‌هایی از هوا زیر پوست گردنش گیر کرده است.

تصویربرداری اشعه ایکس از ناحیه گردن بیمار نشان داد وی دچار آمفیزم زیرپوستی شده است. آمفیزم زیرپوستی وضعیتی است که در آن هوا زیر عمیق‌ترین لایه‌های بافتی زیر پوست گیر می‌کند. سی‌تی‌اسکن توموگرافی کامپیوتری نشان داد پارگی بین استخوان سوم و چهارم یا مهره های گردن او رخ داده است. هوا نیز در فضای بین ریه‌های او جمع شده بود. نتیجه‌گیری پزشکان این بود که پارگی درنتیجه‌ی افزایش سریع فشار در نای او هنگام عطسه کردن با بینی و دهان اتفاق افتاده است.

پزشکان تشخیص دادند مرد به جراحی نیازی ندارد، اگرچه او به مدت دو روز در بیمارستان تحت‌نظر بود تا اطمینان حاصل شود سطح اکسیژن و سایر علائم حیاتی او پایدار است. او سپس از بیمارستان مرخص شد و برای او داروهای مسکن و تب یونجه تجویز شد. پزشکان همچنین به او گفتند که تا دو هفته از انجام فعالیت‌های بدنی شدید اجتناب کند. پنج هفته بعد، سی‌تی اسکن نشان داد پارگی نای او کاملا بهبود پیدا کرده است.

درحالی‌که بیمار مورد مطالعه، درنهایت آسیب جزئی را متحمل شد، پزشکان معالج او در گزارشی در مجله‌ی BMJ Case Reports گفتند این اتفاق باید هشداری برای دیگران باشد و مردم نباید با فشردن بینی و بسته نگه داشتن دهان جلوی عطسه خود را بگیرند، زیرا ممکن است موجب سوراخ شدن نای شود.

پاره شدن خودبخودی نای نادر است، اما می‌تواند مرگبار باشد. تاکنون فقط چند مورد گزارش شده است که معمولا ناشی از ضربه فیزیکی یا جراحت‌های پس از رویه‌های پزشکی نظیر جراحی برداشتن غده تیروئید یا وارد کردن لوله به نای بوده است. دربیشتر موارد، بسته به محل پارگی و پایدار بودن علائم حیاتی برای ترمیم پارگی نای به جراحی نیاز است. دچار شدن به چنین جراحاتی براثر نگه داشتن عطسه بسیار نادر، اما ظاهرا غیرممکن نیست.

تبلیغات
تبلیغات

نظرات