آلزایمر: پژوهش جدید نحوه پیشرفت بیماری را در مغز آشکار می‌کند

دوشنبه 10 آبان 1400 - 14:35
مطالعه 5 دقیقه
پژوهشگران دانشگاه کمبریج در مطالعه جدید خود نحوه پیشرفت بیماری آلزایمر را در مغز نشان داده‌اند.
تبلیغات

بیماری آلزایمر و سایر انواع زوال عقل بیش از ۵۵ میلیون نفر را در سراسر جهان تحت‌تأثیر قرار می‌دهند. اما ایجاد درمان‌های مؤثر پیشرفت کندی دارد. تاحدودی، علت این مسئله آن است که هنوز به اندازه کافی درمورد چیزی که موجب بیماری و پیشروی آن می‌شود، نمی‌دانیم.

پژوهشی که به‌تازگی در مجله‌ی Science Advances منتشر شده است، رویکرد جدیدی را با استفاده از ایده‌های حوزه‌های دیگر علم برای تجزیه‌و‌تحلیل داده‌های بیماران مبتلا به آلزایمر ارائه می‌دهد. به این ترتیب، پژوهشگران توانسته‌اند درک بهتری از فرایندهای کنترل‌کننده پیشرفت بیماری آلزایمر در مغز، حاصل کنند.

در بیماری آلزایمر و بسیاری از بیماری‌های تخریب‌کننده عصب دیگر مانند بیماری پارکینسون، پروتئین‌هایی که به‌طور طبیعی بخشی از سلول‌های مغز سالم هستند، به هم می‌چسبند و توده‌های میکروسکوپی را تشکیل می‌دهند. این توده‌های پروتئین در مغز بیماران تشکیل می‌شود و سلول‌های مغز را از بین می‌برد و به علائمی مانند از دست دادن حافظه منجر می‌شود. با افزایش توده‌های پروتئینی، بیماری بدتر می‌شود و درنهایت اغلب سال‌ها پس از بروز اولین علائم خفیف، موجب مرگ می‌شود. فرایندهای مختلفی احتمالا به تشکیل توده‌های پروتئینی کمک می‌کنند اما دانشمندان هنوز متوجه نشده‌اند که توده‌ها دقیقا چگونه تشکیل می‌شوند و کدام فرایندها در کنترل سرعت تشکیل آن‌ها نقش مهم‌تری دارند.

در پژوهش‌هایی که درمورد بیماری آلزایمر انجام می‌شود، اغلب از حیوانات آزمایشگاهی مانند موش برای تقلید از بیماری انسان استفاده می‌شود. این رویکرد برای بررسی جنبه‌های ویژه‌ای از بیماری مانند اثر عوامل ژنتیکی می‌تواند بسیار مفید باشد. اما به‌طورکلی مدل عالی برای مطالعه این بیماری نیست. از دلایل این امر آن است که بروز آلزایمر در انسان‌ها معمولا چند دهه طول می‌کشد و حیوانات آزمایشگاهی را می‌توان در مقیاس زمانی بسیار کوتاه‌تری مطالعه کرد. به‌گفته‌ی پژوهشگران، به راهی برای درک پیشرفت آلزایمر در مغز با استفاده از داده‌های مستقیم انسانی نیاز داشتیم.

تابه‌حال، این کار دشوار بوده است، اولا به این دلیل که داده‌های انسانی نسبت به‌داده‌هایی که می‌توانیم با مطالعه‌ی حیوانات آزمایشگاهی به‌دست آوریم، بسیار محدودتر است (می‌توانیم حیوانات آزمایشگاهی را اصلاح کنیم، اما انسان‌ها را نه). علت دیگر دشواری کار آن است که مدل‌های ریاضی برای ترکیب و تجزیه‌وتحلیل انواع مختلف داده‌های انسانی که مربوط به این زمینه باشد، وجود نداشت.

اینجا است که پژوهش جدید وارد می‌شود. پژوهشگران دانشگاه کمبریج بریتانیا با استفاده از رویکردی از شیمی فیزیک به نام سینتیک شیمیایی، توانستند بررسی کنند که در سطح میکروسکوپی در مغز دچار آلزایمر چه اتفاقی می‌افتد.

سینتیک شیمیایی به ما کمک می‌کند تا نحوه تعامل مولکول‌ها با یکدیگر و سرعت تعاملات را بدون نیاز به تمرکز در سطح مولکولی (بزرگنمایی و تماشا) درک کنیم. برای مثال، با بررسی سرعت ناپدیدشدن لکه رنگی هنگام استفاده از ماده سفیدکننده، می‌توانیم درک کنیم سفیدکننده چگونه مولکول‌های رنگ را از بین می‌برد. درمورد بیماری آلزایمر، این موضوع بسیار پیچیده‌تر است، اما پژوهشگران توانسته‌اند همین ایده‌ها را برای تعیین چگونگی تشکیل توده‌های پروتئینی در مغز مبتلا به آلزایمر به کار ببرند. آن‌ها در طول بیش از ده سال، از سینتیک شیمیایی در سیستم‌هایی که به تدریج پیچیدگی آن‌ها بیشتر می‌شد، استفاده کردند و کار خود را از لوله آزمایش شروع کردند.

مطالعه جدید اولین مطالعه‌ای است که در آن، این روش‌ها روی داده‌های انسانی اعمال شده است و از داده‌های حاصل از اسکن‌های PET در بیماران مبتلا به آلزایمر، داده‌های حاصل از مطالعات میکروسکوپی مغز بیمارانی که براثر بیماری فوت شده‌ بودند و روش‌های اندازه‌گیری دیگر استفاده شده است.

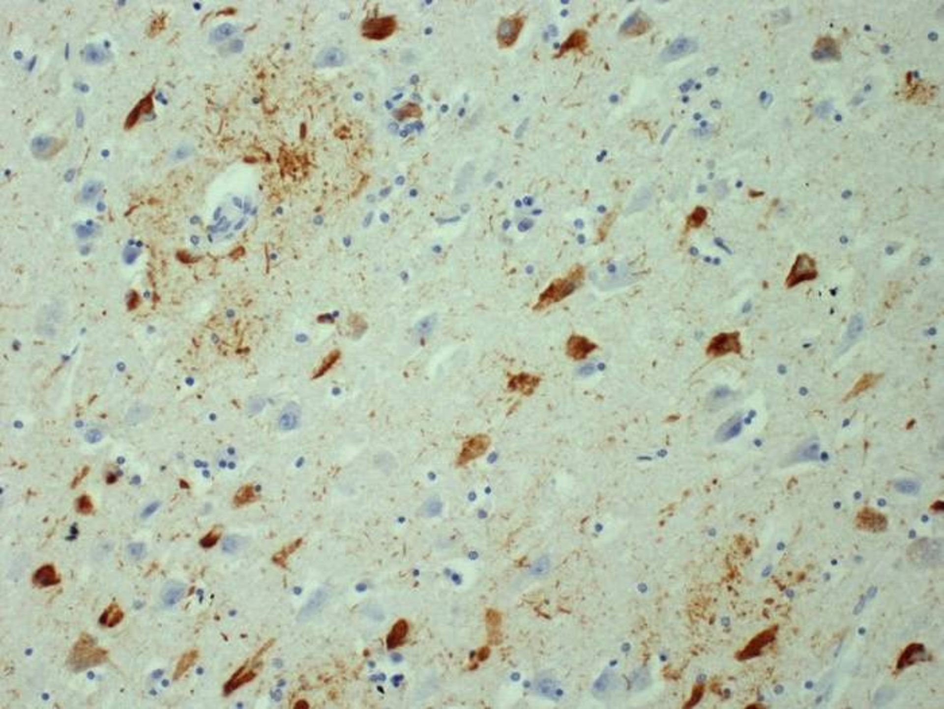
توده های پروتئین تائو در آلزایمر

توده‌های پروتئین‌ تائو (قهوه‌ای) و سلول‌های مغز (آبی) در مغز مبتلا به آلزایمر

نتایج

پژوهشگران متوجه شدند که توده‌های پروتئین در مغز بیماران مبتلا به آلزایمر به‌صورت تصاعدی افزایش پیدا می‌کند؛ یعنی یک توده پس از مدت زمان خاص، دو توده ایجاد می‌کند و سپس پس از گذشت همان مدت زمان، چهار توده تولید می‌کند و به همین ترتیب تعداد توده‌ها افزایش پیدا می‌کند.

همان‌طور که همه‌ی ما در جریان دنیاگیری کووید تجربه کرده‌ایم، رشد تصاعدی می‌تواند در ابتدا به شکل فریبنده‌ای کند به‌نظر برسد و سپس به افزایش ظاهرا ناگهانی منجر شود. در بیماری آلزایمر، این موضوع توضیح می‌دهد که چرا بیماران حین تجمع ابتدایی توده‌ها علائمی را تجربه نکرده یا علائم خفیفی را نشان می‌دهند و پس از آن بیماری به سرعت پیشرفت می‌کند و علائم به‌طور ناگهانی تشدید می‌شود.

یکی از یافته‌های دلگرم‌کننده پژوهش جدید آن است که مغز انسان در کاهش سرعت تکثیر توده‌ها بسیار خوب عمل می‌کند. پژوهشگران دریافتند که حدود پنج سال طول می‌کشد تا مقدار توده‌ها دو برابر شود که بیش از ده برابر سرعت مشاهده‌شده در حیوانات آزمایشگاهی یا درون لوله آزمایش است. این امر احتمالا به عوامل بسیاری مربوط می‌شود، مانند وجود مولکول‌هایی که مراحل مختلف تشکیل توده‌ها را در مغز کند می‌کند. همه‌ی این‌ها بخشی از پژوهش درحال انجام پژوهشگران است.

یکی دیگر از فرایندهایی که دانشمندان به آن بسیار علاقمند هستند، انتشار توده‌ها از یک منطقه مغز به منطقه‌ی دیگر است. پژوهشگران همچنین بررسی کردند که این فرایند چقدر در پیشرفت بیماری مهم است و متوجه شدند که به‌نظر می‌رسد تأثیر کمی بر سرعت پیشرفت داشته باشد. بنابر پیشنهاد آن‌ها، درحالی‌که انتشار ممکن است تاحدی بر موقعیت توده‌های اولیه اثر بگدارد، عامل اصلی کنترل‌کننده سرعت پیشرفت، تکثیر توده‌ها در نواحی جداگانه مغز است.

درمورد این موضوع می‌توانیم با بازگشت به کووید ۱۹ فکر کنیم. زمانی که تعداد قابل‌توجهی افراد عفونی در کشور اصلی وجود داشته باشد، توقف سفر بین کشورها راه موثری برای مهار موارد بیماری نیست. به همین شکل، توقف انتشار توده‌ها بین نواحی مختلف مغز بعید است که پس از شروع آلزایمر به کند کردن روند آن کمک کند.

به‌گفته‌ی پژوهشگران، هدف قرار دادن تکثیر توده‌های در نواحی جداگانه مغز احتمالا استراتژی امیدوارکننده‌تری است. ممکن است روزی بتوانیم از این رویکرد برای کاهش سرعت پیشرفت بیماری استفاده کنیم و چند سال به زندگی سالم بیماران اضافه کنیم.

نظرات