کشف ویروس کرونا در قلب بسیاری از افرادی که به علت کووید ۱۹ از دنیا می‌روند

پنج‌شنبه 28 اسفند 1399 - 13:00
مطالعه 4 دقیقه
مطالعه‌ای جدید نشان می‌دهد ویروس کرونا در قلب افرادی که براثر کووید ۱۹ از دنیا رفته‌اند، وجود دارد و این افراد مشکلات قلبی تجربه می‌کردند.
تبلیغات

براساس دقیق‌ترین مطالعه‌ای که تاکنون روی بافت قلب انجام شده است، سه‌چهارم از کسانی که بر اثر کووید جان باخته‌اند، ویروس SARS-CoV-2 در قلب خود داشتند. همچنین احتمال اینکه این افراد قبل از مرگ ریتم غیر طبیعی قلب را تجربه کنند، نسبت به بیمارانی که ویروس به قلب آن‌ها حمله نکرده بود، بیشتر بود.

مطالعه‌ی جدید بینشی در مورد اینکه بیماری چگونه ممکن است به قلب آسیب برساند و چگونه برخی درمان‌ها ممکن است مفید باشند، ارائه می‌دهد. جوزف مالشوسکی، آسیب‌شناس قلب و عروق در کلینیک مایو که در مطالعه نقشی نداشت، می‌گوید این یافته‌ها واقعا تصویر خوبی از ارتباط ویروس و مشکلات قلبی ارائه می‌دهد.

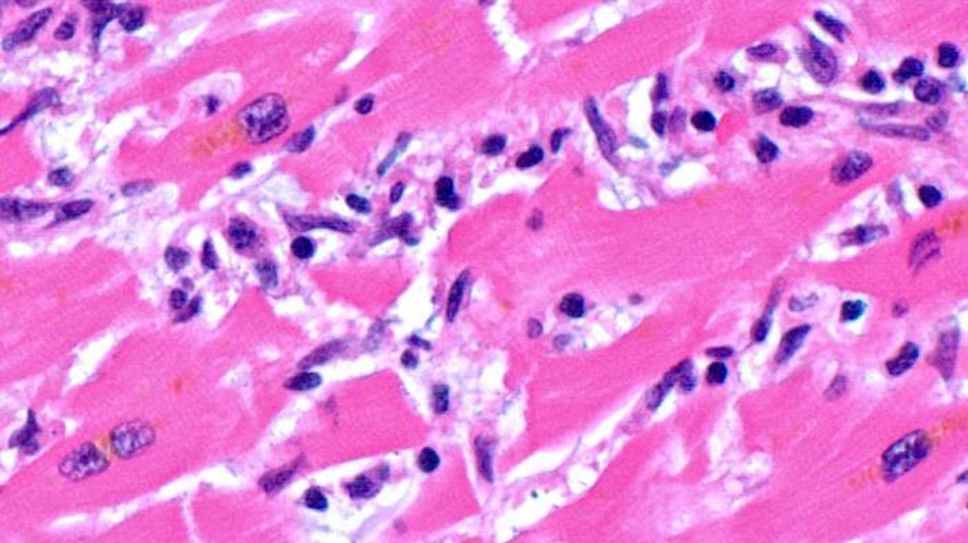
حمله سلول های التهابی به قلب بیمار کووید

لکه‌های بنفش تیره کوچک، سلول‌های التهابی را نشان می‌دهند که به قلب بیماری که براثر کووید جان باخته است، حمله کرده‌اند

به گزارش مجله‌ی ساینس، دانشمندان شواهد زیادی در مورد آسیب قلبی در بیماران کووید ۱۹ دارند. برای مثال، در برخی افراد افزایش سطوح تروپونین‌ها دیده می‌شود. تروپونین‌ها مولکول‌هایی هستند که زمانی‌که قلب آسیب می‌بیند، در جریان خود آزاد می‌شوند. برخی دیگر التهاب کیسه اطراف قلب و التهاب خود قلب را تجربه کرده‌اند؛ اما مشخص نیست که آیا این مشکلات ناشی از حمله‌ی مستقیم ویروس SARS-CoV-2 به قلب بوده یا ناشی از پاسخ ایمنی بیش‌ازحد است.

بخشی از مشکل این است که مطالعات گذشته در مورد اینکه آیا SARS-CoV-2 می‌تواند به بافت قلب حمله کند یا نه، نتایج متناقضی حاصل کرده‌اند. جیمز استون، آسیب‌شناس قلب و عروق در بیمارستان عمومی ماساچوست، می‌گوید بسیاری از مطالعاتی که ویروس را در بافت قلب پیدا نکردند، از روش RT-PCR استفاده کرده بودند. روش RT-PCR با شناسایی RNA ویروسی در بافت عمل می‌کند و سپس نسخه‌های DNA زیادی از آن می‌سازد. وقتی مقدار DNA به حد کافی رسید، مولکولی به نام برچسب فلورسنت می‌تواند به آن متصل شود و برای نشان دادن حضور آن نور ساطع کند.

اما به گفته‌ی استون، بافت قلب اغلب با استفاده از مواد شیمیایی مانند پارافین پردازش و حفظ می‌شود که می‌تواند RNA را خرد کند و مانع از تشخیص شود؛ بنابراین، او گروهش از رویکرد دیگری استفاده کردند: هیبریداسیون درجا و پروفایلینگ ترانس کریپتوم نانواسترینگ. این تکنیک‌ها نیز همچون RT-PCR از مولکول‌های خاصی برای اتصال و شناسایی قطعاتی از RNA ویروسی استفاده می‌کنند اما این کار را بدون نیاز به اینکه اول از روی RNA نسخه‌برداری شود، انجام می‌دهند. این روش می‌تواند RNA ویروسی را حتی پس از خرد شدن به قطعات کوچک‌تر تشخیص دهد.

دانشمندان همچنین تقریبا هزار قطعه از بافت قلب را تجزیه‌و‌تحلیل کردند (بیش از ۲۰ نمونه از هر یک از ۴۱ بیمار مورد مطالعه) که به گفته‌ی استون، دو برابر تعداد نمونه‌هایی است که به ازای هر بیمار در بیشتر مطالعات دیگر بررسی شده است. پژوهشگران در مقاله‌ی خود که در مجله‌ی Modern Pathology منتشر شد، گزارش کردند ویروس SARS-CoV-2 در ۳۰ مورد از قلب‌های تحت بررسی وجود داشت و فقط همین گروه از بیماران در مقایسه با دیگر بیماران تحت مطالعه فیبریلاسیون دهلیزی، ریتم‌های سریع و نامنظم قلب یا ضربان قلب زودرس یا اضافی را تجربه می‌کردند.

هنوز مشخص نیست که آیا ویروس در این موارد مستقیما به قلب حمله کرده است. بیشتر سلول‌های قلبی آلوده سلول‌های ایمنی بودند و SARS-CoV-2 قبل از رسیدن به قلب می‌توانسته به مناطق دیگر بدن حمله کند. همچنین مشخص نیست که آیا ویروس (به‌جای سلول‌های ایمنی) موجب این مشکلات می‌شود.

در هر صورت، مطالعه‌ی جدید ممکن است به توضیح این مسئله کمک کند که چرا استروئید دگزامتازون برای برخی از بیماران بسیار مفید است. این دارو یکی از اولین داروهایی است که مشخص شد به پیشگیری از مرگ ناشی از موارد شدید کووید ۱۹ کمک می‌کند. استون می‌گوید این دارو التهاب را کاهش می‌دهد، بنابراین ممکن است مانع از حضور سلول‌های ایمنی حامل SARS-CoV-2 در قلب شود. فقط ۵۰ درصد از بیماران که دگزامتازون دریافت کرده بودند، ویروس را در قلب خود داشتند. این در حالی است که ویروس در قلب ۹۰ درصد افرادی که این دارو را دریافت نکرده بودند، دیده شد؛ اما دکتر نیکلاس هندرن از مرکز پزشکی دانشگاه تگزاس ساوت‌وسترن می‌گوید در مقایسه با کارآزمایی‌های بزرگ، تعداد بیماران در مطالعه‌ی جدید کم است و براساس آن نمی‌توان گفت این دارو نسبت به داروهای دیگر بهتر از قلب محافظت می‌کند.

با‌این‌حال، مالشوسکی می‌گوید یافته‌های جدید فراخوانی برای اقدام است. او می‌گوید دانشمندان باید بافت قلب بیشتری را مورد بررسی قرار دهند، نه‌فقط برای دیدن اینکه کووید ۱۹ چگونه موجب مرگ بیماران می‌شود بلکه برای درک این موضوع که چگونه به قلب کسانی که زنده می‌مانند، آسیب می‌زند. برای مثال، بیماری ممکن است موجب ایجاد بافت زخم روی قلب شود و درنهایت به مشکلات قلبی منجر شود. او می‌گوید ما در حال درک این مسئله هستیم که کووید ۱۹ هنگام ابتلا چه کاری با بیمار انجام می‌دهد اما چیزی که مشخص نیست این است که بعداً چه اتفاقی می‌افتد.

نظرات