کووید ۱۹ شدید ممکن است به چشم آسیب برساند

جمعه 1 اسفند 1399 - 20:00
مطالعه 3 دقیقه
مطالعه‌ی جدیدی نشان می‌دهد افراد مبتلا به کووید ۱۹ شدید ممکن است درمعرض خطر مشکلات جدی چشم قرار داشته باشند.
تبلیغات

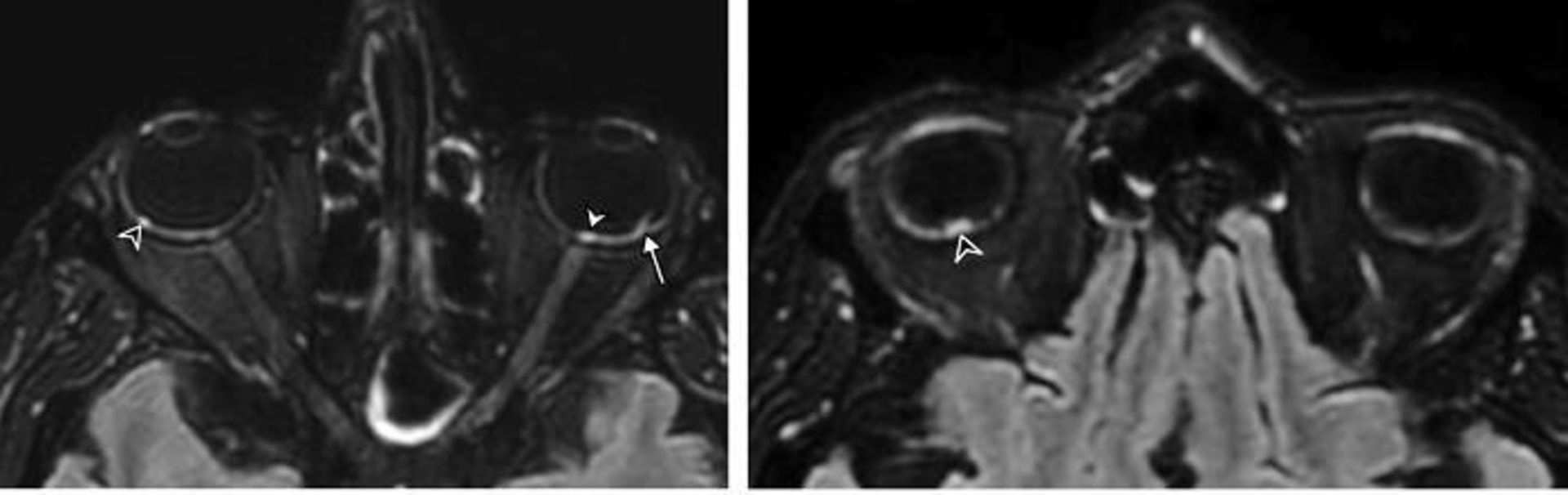
در مطالعه‌ای جدید که در وب‌سایت لایو ساینس گزارش شده است، پژوهشگران اطلاعات ۱۲۹ بیمار در فرانسه را که براثر کووید ۱۹ بستری شده بودند و تحت اسکن مغز با روش تصویرسازی تشدید مغناطیسی (MRI) قرار گرفته بودند، تجزیه‌و‌تحلیل کردند. از این تعداد، ۹ بیمار یا ۷ درصد علائم ناهنجاری‌های چشمی را نشان می‌دادند.

به گفته‌ی دکتر آگوستین لکلر، دانشیار دانشگاه پاریس و نویسنده‌ی اصلی مطالعه، ناهنجاری‌هایی به نام ندول یا گره در پشت چشم این بیماران دیده می‌شد که می‌تواند نشانه‌ی التهاب یا آسیب مستقیم به چشم باشد. همه‌ی ۹ بیمار ندول‌هایی در لکه زرد یا ماکولا داشتند که مسئول بینایی مرکزی است و موجب دید مستقیم و واضح می‌شود. هشت بیمار ندول‌های دوطرفه داشتند یعنی در هر دو چشم اتفاق افتاده بود. دکتر لکلر گفت:

مشکلات چشمی که پیدا کردیم، می‌تواند به‌طور بالقوه بسیار جدی باشد زیرا در منطقه‌ی ماکولا رخ می‌دهد که منطقه‌ی مسئول دید واضح و توانایی دیدن جزئیات است. اگر این وضعیت تداوم داشته باشد، می‌تواند به‌طور بالقوه به کاهش بینایی شدید یا حتی نابینایی منجر شود‌.
اسکن بیمار کووید /  covid patient scan

مطالعه‌ی جدیدی نشانه‌هایی از ناهنجاری‌های چشمی را روی اسکن‌های MRI بیماران مبتلا به کووید ۱۹ شدید نشان داد. در بالا، اسکن‌های MRI مغز بیمار ۵۶ ساله‌ی مبتلا به کووید ۱۹ ندول‌هایی را در پشت چشمان وی نشان می‌دهد (که با پیکان نشان داده شده است) که می‌تواند نشانه‌ای از التهاب یا آسیب مستقیم به چشم باشد.

پژهشگران در مقاله‌ی خود که در مجله‌ی Radiology منتشر شد، نوشتند این یافته‌ها نشان می‌دهد که بیماران مبتلا به کووید ۱۹ شدید ممکن است نیاز باشد که برای مشکلات چشم مورد غربالگری قرار گیرند. آن‌ها متذکر می‌شوند که مشکلات جدی چشم در بیمارانی که در بخش مراقبت‌های ویژه قرار دارند، ممکن است تا حد زیادی مورد توجه قرار نگیرد زیرا پزشکان روی درمان علائم تهدیدکننده زندگی بیماری تمرکز دارند. دکتر کلودیا کیرش، در سرمقاله‌ی همراه مقاله در مجله‌ی Radiolog نوشت:

بسیار مهم است که فراموش نکنیم که مشکلات چشم در بخش مراقبت‌های ویژه ممکن است تشخیص داده نشود و پزشکان باید در تشخیص زودهنگام چنین مشکلاتی هشیار باشند تا از بینایی بیمار محافظت کنند.

کووید ۱۹ قبلا با علائم چشمی ازجمله التهاب ملتحمه یا چشم صورتی و نیز آسیب به شبکیه‌ی چشم (رتینوپاتی) مرتبط شده است. مطالعه‌ی جدید یکی از اولین مطالعاتی است که ناهنجاری‌های چشمی مرتبط با کووید را با استفاده از اسکن‌های MRI گزارش می‌کند. به گزارش سی‌ان‌ان، علت دقیق این ندول‌ها مشخص نیست اما می‌توانند نشانه‌هایی از آسیب ناشی از انسداد عروق خونی یا خونریزی درون چشم باشند.

اینکه ویروس دقیقا چگونه به چشم صدمه می‌زند نیز مشخص نیست. به‌گفته‌ی نویسندگان، با توجه به اینکه سلول‌های موجود در شبکیه گیرنده‌ی ACE2 را بیان می‌کنند، این امکان وجود دارد که ویروس عامل کووید ۱۹ یعنی SARS-CoV-2 بتواند به‌طور مستقیم چشم را آلوده کند. گیرنده‌ی مذکور به ویروس اجازه می‌دهد تا وارد سلول‌ها شود. آسیب همچنین می‌تواند ناشی از پاسخ التهابی بدن دربرابر بیماری باشد.

نویسندگان همچنین نمی‌توانند این احتمال را رد کنند که ممکن است ندول‌ها ناشی‌از شدت بیماری افراد بوده باشد. بیمارانی که در بخش مراقبت‌های ویژه در وضعیت خوابیده روی شکم به سرمی‌برند و تحت لوله‌گذاری نای قرار دارند، به خاطر افزایش فشار خون چشم در معرض دچار شدن به ناهنجاری‌های چشمی هستند. بیشتر بیماران مطالعه‌ی جدید که دچار ناهنجاری چشمی بودند، برای مدت طولانی در بخش مراقبت‌های ویژه در وضعیت خوابیده روی شکم قرار داشتند.

البته مطالعه‌ی جدید محدود بود، زیرا پژوهشگران بیماران را مورد پیگیری قرار ندادند تا تعیین کنند که آیا این ناهنجاری‌ها موقت بوده یا به تغییرات بینایی منجر می‌شود. اما آن‌ها درحال پیگیری این بیماران هستند و بیماران بیشتری را که دچار کووید ۱۹ شدید هستند با استفاده از MRI و نیز آزمایش‌های جامع چشم بررسی می‌کنند. آن‌‌ها همچنین درحال انجام مطالعات مشابهی روی بیماران مبتلا به موارد خفیف کووید ۱۹ هستند تا ببینند که آیا این مشکلات خاص موارد شدید بیماری است یا در موارد خفیف‌تر نیز دیده می‌شود.

تبلیغات
داغ‌ترین مطالب روز
تبلیغات

نظرات