ویروس کرونا چگونه به مغز حمله می‌کند؟

جمعه 21 شهریور 1399 - 14:45
مطالعه 5 دقیقه
دانشمندان می‌گویند ویروس کرونا فقط روی ریه‌ها اثر ندارد؛ ممکن است وارد سلول‌های مغز شده و موجب بروز علائمی نظیر روان‌آشفتگی و گیجی شود.
تبلیغات

ویروس کرونا بیش از همه ریه‌ها را مورد هدف قرار می‌دهد؛ اما کلیه‌ها، کبد و عروق خونی را نیز درگیر می‌کند. بااین‌حال، حدود نیمی از بیماران علائم عصبی نظیر سردرد، گیجی و روان‌آشفتگی را گزارش می‌کنند که نشان می‌دهد ویروس ممکن است به مغز نیز حمله کند.

پژوهش جدید نخستین شواهد واضح را دراین زمینه ارائه می‌دهد که در برخی افراد ویروس کرونا به سلول‌های مغز حمله می‌کند و آن‌ها را به‌منظور تولید نسخه‌هایی از خود می‌رباید. همچنین به‌نظر می‌رسد که ویروس تمام اکسیژن اطراف را جذب می‌کند و سلول‌های نزدیک به‌خاطر بی‌اکسیژنی می‌میرند.

مشخص نیست که ویروس کرونا چگونه به مغز می‌رسد یا اینکه فراوانی چنین اتفاقی چقدر است. عفونت مغز احتمالا به‌ندرت رخ می‌دهد؛ اما برخی افراد به‌خاطر پس‌زمینه‌ی ژنتیکی، بار ویروسی بالا یا دلایل دیگر شاید دربرابر این تأثیر آسیب‌پذیر باشند. آکیکو ایوازاکی، ایمونولوژیست دانشگاه ییل که هدایت پژوهش را برعهده داشت، می‌گوید، عفونی‌شدن مغز پیامدهای مرگباری می‌تواند داشته باشد.

مطالعه‌ی جدید روز چهارشنبه به‌صورت آنلاین ارسال شد و هنوز برای انتشار در مجله‌ای معتبر به‌وسیله‌ی متخصصان مورد بازبینی قرار نگرفته؛ اما چندین پژوهشگر گفتند که پژوهش مذکور دقیق انجام شده است و به روش‌های مختلف نشان می‌دهد که ویروس می‌تواند سلول‌های مغز را آلوده کند.

دانشمندان مجبور شدند برای استنباط اثرات ویروس روی مغز روی تصویربرداری مغز و علائم بیمار تکیه کنند. مایکل زندی، مشاور عصب‌شناس بیمارستان ملی عصب‌شناسی و جراحی مغز و اعصاب بریتانیا گفت: «ما شواهد زیادی دراین‌باره که ویروس می‌تواند مغز را عفونی کند، ندیده بودیم، با اینکه آن را به‌عنوان یک احتمال بالقوه درنظر می‌گرفتیم. این داده‌ها شواهد بیشتری ارائه می‌دهند که چنین چیزی قطعا اتفاق می‌افتد.» دکتر زندی و همکارانش پژوهشی را در ماه جولای منتشر کردند که نشان می‌داد برخی از مبتلایان به کووید ۱۹ دچار عوارض عصبی جدی ازجمله آسیب عصبی می‌شوند.

دکتر ایوازاکی و همکارانش در مطالعه‌ی جدید عفونت مغز را به سه روش اثبات کردند: در بافت مغز فردی که براثر کووید ۱۹ جان باخته بود، در مدل موش و در ارگانوئیدها (خوشه‌هایی از سلول‌های مغز در ظرف آزمایشگاهی که ساختار سه‌بعدی مغز را تقلید می‌کنند).

مشخص شده است که پاتوژن های دیگر (ازجمله ویروس زیکا) نیز سلول‌های مغز را آلوده می‌کنند. سپس سلول‌های ایمنی به محل عفونت روانه می‌شوند و با تخریب سلول‌های آلوده سعی می‌کنند مغز را پاک‌سازی کنند. اما ویروس کرونا روش متفاوتی دارد: این ویروس از ماشین‌آلات سلولی برای تکثیر خود استفاده می‌کند اما آن‌ها را از بین نمی‌برد. درعوض با مصرف اکسیژن موجب می‌شود سلول‌های مجاور ضعیف شوند یا بمیرند. پژوهشگران هیچ مدرکی درمورد پاسخ ایمنی برای رفع این مشکل پیدا نکردند. ایوازاکی از آن به‌عنوان نوعی عفونت خاموش یاد می‌کند و می‌گوید ویروس مکانیسم‌های زیادی برای فرار دارد.

آلیسون موتری، دانشمند علوم اعصاب دانشگاه کالیفرنیا که او نیز ویروس زیکا را مورد مطالعه قرار داده است، گفت این یافته‌ها با مشاهدات دیگر روی ارگانوئیدهای آلوده به ویروس کرونا سازگاری دارد. به‌نظر می‌رسد ویروس کرونا به‌سرعت تعداد سیناپس‌ها یعنی اتصلات میان نورون‌ها را کاهش دهد. موتری گفت: «چندین روز پس از عفونت شاهد کاهش چشمگیری در تعداد سیناپس‌ها هستیم. هنوز نمی‌دانیم که آیا این اتفاق بازگشت‌پذیر است یا نه.»

ویروس ازطریق پروتئینی به‌نام ACE2 که روی سطح سلول میزبان قرار دارد، آن را آلوده می‌کند. پروتئین مذکور در سراسر بدن و به‌خصوص در ریه‌ها وجود دارد که توضیح می‌دهد چرا سلول‌های ریه اهداف مورد علاقه‌ی ویروس هستند.

مطالعات گذشته براساس شاخصی از سطوح پروتئین نشان داده‌اند که مغز ACE2 بسیار کمی دارد و احتمالا از ویروس در امان است؛ اما ایوازاکی و همکارانش با بررسی بیشتر دریافتند که ویروس با استفاده از این درگاه می‌تواند وارد سلول‌های مغز شود. ایوازاکی گفت: «پروتئین ACE2 در نورون‌ها نمایان می‌شود و برای ورود ویروس به سلول‌ها لازم است.»

تیم ایوازاکی دو گروه موش‌ را مورد بررسی قرار داد. در گروه اول، گیرنده‌ی ACE2 تنها در مغز نمایان می‌شد و در گروه دیگر گیرنده‌ی مذکور تنها در ریه‌ها نمایان می‌شد. وقتی پژوهشگران موش‌ها را درمعرض ویروس قرار دادند، موش‌های دارای مغز آلوده، به‌شدت دچار کاهش وزن شدند و طی ۶ روز مردند. موش‌های گروه ریه‌ی آلوده چنین وضعیتی پیدا نکردند. ایوازاکی با اشاره به پژوهش‌های انجام‌شده روی موش گفت، نتایج نشان می‌دهند که عفونت ویروس در مغز ممکن است نسبت‌به عفونت تنفسی کشنده‌تر باشد.

ویروس شاید ازطریق پیاز بویایی، چشم‌ها یا حتی به کمک گردش خون وارد مغز شود. مشخص نیست که پاتوژن از کدام مسیر استفاده می‌کند و اینکه آیا فراوانی این اتفاق به اندازه‌ای است که علائم مشاهده‌شده در افراد را توضیح دهد.

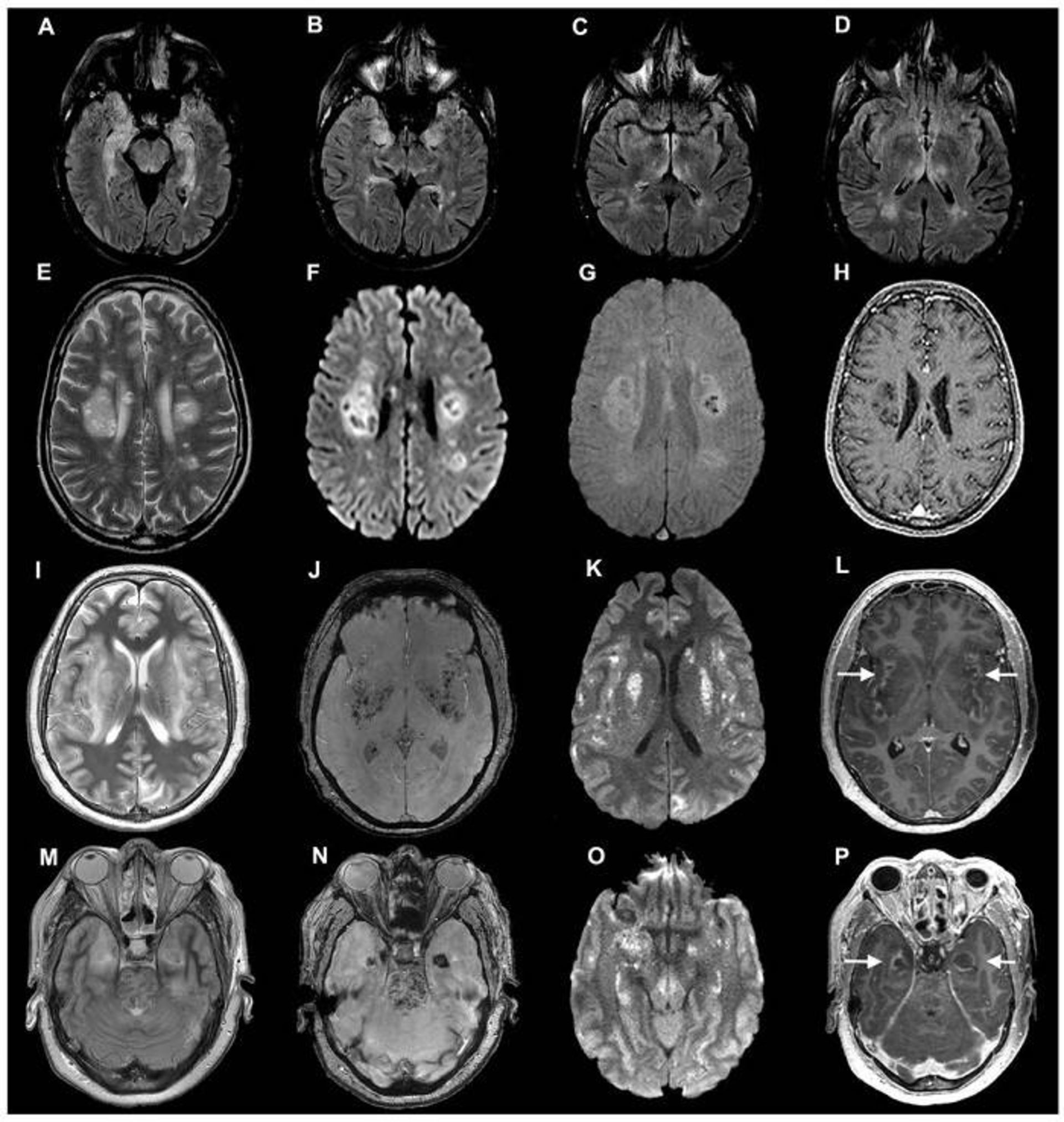
اسکن مغز بیماران کووید ۱۹

اسکن‌های مغز بیماران مبتلا به کووید ۱۹ از مطالعه‌ای که در ماه جولای منتشر شد. دانشمندان متوجه شدند برخی از بیماران دچار عوارض عصبی جدی نظیر آسیب عصبی می‌شوند

برای تخمین میزان شیوع عفونت مغز و تعیین میزان شیوع این اتفاق در افرادی که دچار بیماری خفیف‌تر هستند یا کسانی که تا مدت‌ها پس از عفونت همچنان درگیر علائم بیماری بوده و بسیاری از آن‌ها علائم عصبی زیادی را نشان می‌دهند، لازم است نمونه‌های کالبدشکافی زیادی بررسی شود.

رابرت استیونز دانشمند عصب‌شناس دانشگاه جانز هاپکینز می‌گوید ۴۰ تا ۶۰ درصد از بیماران بستری‌شده‌ی مبتلا به کووید ۱۹ علائم عصبی و روانی را تجربه می‌کنند؛ اما این علائم ممکن است همگی ناشی‌از حمله‌ی ویروس به سلول‌های مغز نباشند. آن‌ها شاید نتیجه‌ی التهابی باشند که کل بدن را فرا گرفته است. برای مثال التهاب در ریه‌ها می‌تواند مولکول‌هایی را آزاد کند که باعث چسبندگی خون و انسداد عروق خونی و سکته شود. دکتر زندی گفت: «برای اتفاق افتادن آن نیازی نیست که خود سلول‌های مغزی آلوده شوند. این احتمال وجود دارد که در برخی افراد کاهش اکسیژن خون حاصل از سلول‌های آلوده‌ی مغز منجر به سکته شود. گروه‌های مختلف بیماران ممکن است به روش‌های مختلفی تحت تأثیر قرار گیرند. کاملا محتمل است که ترکیبی از هر دو را ببینید.»

تشخیص برخی علائم شناختی مانند کدری مغز (مه‌آلودگی مغز) و روان‌آشفتگی در بیمارانی که تحت داروهای آرام‌بخش بوده یا به دستگاه تنفس مصنوعی متصل هستند، دشوار است. دکتر استیونز گفت برای ارزیابی بیماران کووید ۱۹ پزشکان باید در صورت امکان سطوح داروهای آرام‌بخش را یک بار در روز کاهش دهند.

نظرات