پنج مورد از اسرارآمیزترین گوناگونی‌های آناتومیکی انسان

پنج‌شنبه 19 اردیبهشت 1398 - 23:20
مطالعه 4 دقیقه
تمام انسان‌ها ازلحاظ آناتومیکی کاملا یکسان نیستند و گاهی تغییراتی وجود دارد که حتی برای آن‌ها سودمند است.
تبلیغات

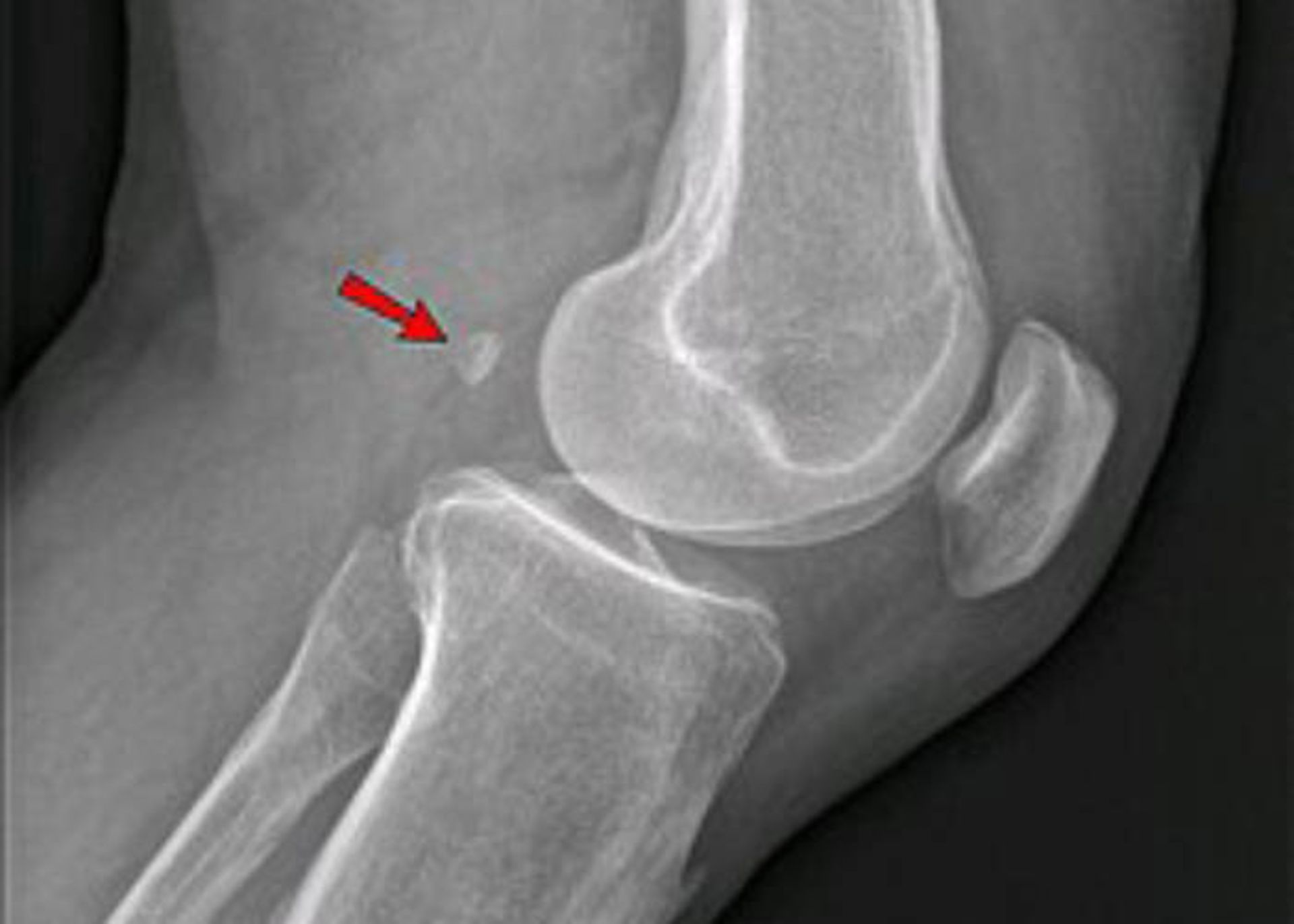
اخیرا دانشمندان بریتانیایی گزارش کرده‌اند استخوانی که قبلا تصور می‌شد در جریان تکامل در‌ حال ناپدیدشدن باشد، درحال‌بازگشت است. این استخوان کوچک که فابلا (لوبیای کوچک) نامیده می‌شود، اگر وجود داشته باشد، در پشت زانو قرار گرفته است. طبق برآورد دانشمندان، احتمال اینکه فردی در سال ۲۰۰۰ این استخوان را داشته باشد، تقریبا ۳.۵ برابرِ احتمال داشتن آن در سال ۱۹۰۰ است و البته، هدف دقیق حضور آن همچنان معما است.

فابلا، تنها تنوع موجود در آناتومی انسان‌ها نیست. درواقع، تنوع زیادی درزمینه‌ی آناتومی انسان‌ها درنتیجه‌ی تأثیر عوامل ژنتیکی و محیطی و اختلال در مراحل توسعه‌ی جنینی دیده می‌شود. بیشترِ این تغییرات خوش‌خیم هستند و موجب بیماری نمی‌شوند. در این مطلب، به چند مورد از معروف‌ترین این تغییرات اشاره می‌کنیم.

استخوان فابلا

۱. دندان‌های اضافه

انسان در اوایل زندگی خود ۲۰ دندان شیری دارد که به‌تدریج می‌افتد و ۳۲ دندان دائمی جایگزین آن‌ها می‌شود. باوجوداین، ۲ درصد از افراد دندان اضافه دارند. بیشتر این افراد یک یا دو دندان غیرعادی دارند؛ اما در گزارش‌های پزشکی آمده است برخی انسان‌ها دندان‌های اضافه‌ی بسیار بیشتری دارند؛ مثلا یک مورد زنی بود که ۱۹ دندان اضافه داشت.

هر دو جنس نر و ماده نوک پستان دارند؛ زیرا در اوایل رشد و قبل از مشخص‌شدن جنس جنین، دو رگه‌ی بافتی تشکیل و از ناحیه‌ی زیر بغل به‌سمت کشاله‌های ران کشیده می‌شود. این رگه‌ها را رگه‌ها یا برآمدگی‌های پستانی می‌نامند. البته با گذشت زمان، هر دو ناپدید می‌شود و تنها یک منطقه باقی می‌ماند که در آن غده‌ی پستانی و نوک پستان‌ها رشد پیدا می‌کند. برخی از افراد ممکن است در طول این خطوط و نه در میان سینه و نوک پستان‌های موجود، نوک پستان‌های اضافه داشته باشند. گزارش‌هایی درباره‌ی افرادی وجود دارد که هفت نوک پستان داشته‌اند.

۳. انگشت اضافه

بیشتر افراد ۱۰ انگشت پا و ۱۰ انگشت دست دارند؛ ولی بسیاری از افراد نیز با انگشت‌های اضافی متولد می‌شوند. این وضعیت، بیشتر در دست دیده می‌شود و معمولا با ناهنجاری‌هایی نظیر سندرم داون ارتباط دارد.

انگشت اضافه

احتمال بروز انگشت اضافی در برخی از قومیت‌ها بیشتر است. برای مثال، احتمال وجود انگشت اضافه درکنار انگشت کوچک دست در میان آفریقایی‌آمریکایی‌ها بیشتر است (پرانگشتی یا پلی‌داکتیلی اولنار). احتمال وجود یک انگشت اضافی درکنار انگشت شست در جامعه‌ی قفقازی بیشتر است (پلی‌داکتیلی رادیال)؛ ولی درمجموع رواج کمتری دارد. درحالی‌که بیشتر افراد دارای انگشت اضافی، یک یا دو انگشت غیرعادی دارند، گزارش‌هایی درباره‌ی افرادی با ۳۱ و حتی ۳۴ انگشت اضافی نیز وجود دارد.

۴. داشتن ماهیچه‌ای خاص

عضلات نیز ممکن است بین افراد متفاوت باشد. یکی از آسان‌ترین موارد برای مشاهده، ماهیچه‌ای است که «ماهیچه‌ی دراز کف‌دستی» نامیده می‌شود. بهترین راه برای اینکه ببینید شما نیز این ماهیچه را دارید یا نه، این است که انگشت شست و انگشت کوچک یا انگشت حلقه‌ی خود را به‌هم بچسبانید. سپس، دستتان را به‌سوی خودتان خم کنید. اگر این ماهیچه را داشته باشید، باید شاهد تاندونی باشید که از مچ دستتان بیرون می‌زند و از سمت ساعد به داخل دست می‌رود. این ماهیچه ممکن است در یک یا هر دو دست وجود داشته باشد. برخی از افراد هم هیچ‌کدام را ندارند. این ماهیچه در هر دو دستِ حدود ۱۰ درصد مردم قفقاز و یک دست ۱۶ درصد آن‌ها وجود ندارد.

ماهیچه دراز کف دستی

برخی از پژوهشگران نیز این ماهیچه را ازلحاظ تکاملی توضیح می‌دهند. اورانگوتان‌ها که از دستان خود برای حرکت استفاده می‌کنند، این ماهیچه را دارند؛ درحالی‌که میمون‌های بالاتری مانند گوریل‌ها و شامپانزه‌ها، این ماهیچه را ندارند. به‌نظر نمی‌رسد فقدان این ماهیچه در انسان به کاهش قدرت دست منجر شود.

با تمام این‌ها از دیدگاهی، وجود این ماهیچه سودمند است. اگر فردی به جراحی ترمیم تاندون نیاز داشته باشد، ازآنجاکه دسترسی به این تاندون بسیار ساده است، از آن می‌توان برای پیوند استفاده کرد. ماهیچه‌ی مشابهی نیز در قسمت پایین پا وجود دارد که «ماهیچه‌ی کف‌پایی» نامیده می‌شود و گمان می‌رود ۷ تا ۲۰ درصد افراد آن را ندارند. این ماهیچه را بدون استفاده از تصویربرداری‌هایی نظیر اولتراسوند نمی‌توان دید؛ زیرا در ناحیه‌ی ساق پا قرار گرفته است؛ اما مانند همتایش در دست، یعنی ماهیچه‌ی دراز کف‌دستی، از این ماهیچه نیز می‌توان درصورت نیاز به پیوند تاندون استفاده کرد.

۵. وجود رحم در مردان

برخی از تغییرات آناتومیکی با بزرگ‌شدن فرد خود را نشان می‌دهند؛ مانند مردانی که با رحم متولد می‌شوند. این ناهنجاری توسعه‌ای ممکن است، تنها در جریان بلوغ و با ظهور خون در ادرار آشکار شود. این خون درواقع مربوط‌به دوره‌ی قاعدگی است که ازطریق سیستم ادراری خارج می‌شود.

همه‌ی این موارد نشان می‌دهند آناتومی انسان‌ها مانند آنچه در کتاب‌های درسی توصیح داده می‌شود، بدون تغییر و کاملا مشخص نیست. ما تنوعی داریم که می‌تواند برایمان سودمند هم باشد.

تبلیغات
تبلیغات

نظرات