منتخب‌ عکس‌های علمی هفته از نگاه زومیت

جمعه 25 مرداد 1398 - 22:30
مطالعه 26 دقیقه
در دنیای علم هر لحظه‌ شاهد اکتشافات و یافته‌های شگفت‌انگیزی هستیم که برخی به تیتر رسانه‌ها بدل می‌شوند و بارها و بارها دیده می‌شوند.
تبلیغات

قصد داریم هر هفته، به‌صورت سریالی جالب‌ترین و برترین تصاویر علمی از سراسر جهان را نگاه زومیت تقدیم شما خوانندگان گرانقدر کنیم. در دنیای پر رسانه امروز، تصاویری هستند که به دلیل اهمیت رسانه‌ای خود بارها و بارها دیده می‌شوند و به اشتراک گذاشته می‌شوند. اما از سوی دیگر، برخی از این تصاویر گرچه با اهمیت باشند، مهجورانه به دست فراموشی سپرده می‌شوند. گاهی برخی از همین تصاویر، گفتنی‌هایی بیشتر از گزارش‌ها و مقالات پر بازدید دنیای پر خبر امروز دارند. در ادامه به بررسی برخی از تصاویر علمی منتخب هفته به‌همراه داستان نهفته در پَس هر کدام خواهیم پرداخت. با ما همراه باشد:

بازگشت نفرین فراعنه

بازگشت نفرین فراعنه

آرامگاهی دست‌نخورده از دوران مصر باستان قرار است به‌زودی به موزه‌ای جدید منتقل شود. اما باستان‌شناسان شدیدا با این اقدام مخالفت کرده‌اند. باستان‌شناسان نگران این هستند که انتقال این آرامگاه به آن آسیب برساند. در همین حال، برخی از رسانه‌ها از فرصت استفاده کرده‌اند تا بار دیگر داستان مشهور «نفرین فراعنه» را بر سر زبان‌ها بیندازند. اگر در فیلم‌های سینمایی دیده باشید، همواره اتفاقاتی معمولی منجر به باز شدن در‌ها و قفل‌های تا پیش از این ناگشوده‌ای می‌شود که باعث به کار افتادن نفرین فراعنه می‌شود.

اواسط فروردین امسال بود که باستان‌شناسان دو مقبره حاوی یک جفت مومیایی که تصور می‌شود، یکی مادر و دیگر فرزند خردسالش باشد را کشف کردند. در کنار این دو مومیایی اجساد ۵۰ حیوان مومیایی شده از جمله، شاهین، گربه و ده‌ها موش نیز پیدا شدند. به گفته باستان‌شناسان، این مقبره به مردی به نام توتو و خانواده‌اش تعلق داشته است. اعتقاد بر این است که قدمت این مقبره به «دودمان بطلمیوسی» بازگردد که با فتح رومیان در سال ۳۰ م. به پایان رسید.

در زمان کشف، مصطفی وزیری، دبیرکل شورای عالی آثار باستانی مصر به بی‌بی‌سی گفت:

آرامگاهی زیبا و رنگارنگ که از یک سرسرای مرکزی تشکیل شده که دارای یک مقبره با دو تابوت سنگی است.

اما حالا، وزارت آثار باستانی دستور داده که این آرامگاه به خوبی حفظ‌شده باید از منطقه دورافتاده الدایابات در استان سوهاج به موزه جدید آثار باستانی مصر در فاصله‌ی ۵۰۰ کیلومتری منتقل شود. به گزارش The Sun، وزارت آثار باستانی مصر شروع به بریدن قطعاتی از مقبره کرده تا انتقال آن با سهولت بیش‌تری انجام گیرد. این وزارت دلیل خود را مراقبت از این مقبره و همچنین جلوگیری از دستبرد و غارت مقبره اعلام کرده است.

اما باستان‌شناسان به هیچ‌وجه روی خوش به برنامه وزارت آثار باستانی مصر نشان ندادند. البته مخالفت باستان‌شناسان تنها به اعتراض کلامی ختم نشد، بلکه به گزارش «دیلی نیوز ایجیپت ((Daily News Egypt)»، این باستان‌شناسان شکایتی تنظیم و وزرات آثار باستانی را به نقص آشکار «منشور جهانی ونیز برای حفاظت از آثار تاریخی» محکوم کرده‌اند. منشور ونیز در سال ۱۹۶۴ توسط شورای بین‌المللی معماران و تکنسین‌های آثار تاریخی در ونیز ایتالیا به تصویب رسید تا حکم چارچوب بین‌المللی برای حفاظت و مرمت از آثار و بناهای باستانی ارزشمند را داشته باشد. حال به نظر می‌رسد که وزارت آثار باستانی مصر در حال نقض ماده‌ی هفتم منشور ونیز است که براساس آن، «یک بنای تاریخی از تاریخ و مکانی که در آن واقع است جدایی‌ناپذیر است.»

گربه‌ مومیایی

گربه‌ای مومیایی شده که اوایل امسال در منطقه‌ی الدایابات، استان سوهاج در مصر کشف شد. تصور می‌شود، گربه‌ها در آئین‌های خاصی به باستت (ایزدبانوی مصر باستان با سر گربه و بدن آدمی) پیشکش می‌شدند

باستان‌شناسان اعلام کردند که این منشور دقیقاً برای این تنظیم شده که این نوع آثار باستانی آسیب نبینند و بسیار واضح است که جابجایی یک بنا «مگر در مواردی که نیاز به حفاظت از اثر تاریخی است» مجاز نیست.

بااین‌حال، مصطفی وزیری به دیلی نیوز ایجیپت گفت:

در موزه جدید وزارت آثار باستانی مصر، تمام چهره‌های مهم و گردشگرانی از سراسر جهان شانس دیدن مقبره را دارند و به هزاران نفر اگر نگوییم میلیون‌ها نفر امکان لذت بردن از (تماشای آن) داده می‌شود.

نوشیدن قهوه زیاد هیچ کمکی به بهبود میگرن نمی‌کند

نوشیدن قهوه زیاد هیچ کمکی به بهبود میگرن نمی‌کند

افرادی که با میگرن مزمن دست‌وپنجه نرم می‌کنند و دوست‌دار قهوههم هستند ممکن است خوش‌شانس باشند. پژوهشگران دانشگاه هاروارد در پژوهش جدید خود نشان دادند که کافئین زیادی برای مدتی از سردردهای آن‌ها می‌کاهد. پژوهشگران دریافتند افرادی که کمتر از ۳ فنجان قهوه در روز می‌نوشند، خطر کم‌تری برای دچار شدن به میگرن نسبت به روزهایی دارند که هیچ قهوه‌ای نمی‌نوشند.

اما، رابطه‌ی بین کافئین، میگرن و سردرد بسیار پیچیده است. کافئین ماده مهمی است که باعث افزایش تأثیر مسکن‌های بدون نسخه‌ی سردرد مانند «اِکسدرین (Excedrin)» می‌شود که حاوی استامینوفن، آسپرین و کافئین هستند. و برخی هم عقیده دارند نوشیدن چند جرعه قهوه به‌تنهایی برای رفع سردرد کافی است. اما شواهد دیگری نیز وجود دارد که نشان می‌دهد افرادی که بیش از حد کافئین مصرف می‌کنند، به این ماده نوعی وابستگی پیدا می‌کنند و هنگامی که مصرف آن را متوقف کنند، ممکن است حتی دچار سردردهای دردناک‌تری نسبت به سابق شوند. و حتی شاید وضع آن‌ها با مصرف داروهایی از نوع اکسدرین وخیم‌تر نیز شود. همینطور حداقل یک پژوهش نشان داده که وقتی مبتلایان به میگرن کاملاً مصرف کافئین را قطع می‌کنند، بهتر به سایر درمان‌ها پاسخ می‌دهند.

یافته‌های جدید راز دیگری را به رازهای تاریک مایاها افزود

در همین حال، در پژوهش تازه‌ای که انجام گرفته پژوهشگران دریافتند بیمارانی که روزانه ۱ تا ۲ فنجان قهوه می‌نوشند، به‌طور متوسط نسبت به روزهایی که هیچ نوشیدنی حاوی کافئینی نمی‌نوشند، شانس بیشتری برای دچار شدن به میگرن ندارند. اما وقتی همین افراد ۳ فنجان یا بیشتر از این نوشیدنی‌ها را نوشیدند، شانس دچار شدن به میگرن در همان روز برای آن‌ها افزایش می‌یافت. پژوهشگران گفته‌اند جالب‌توجه است که با وجود اینکه برخی بیماران مبتلا به میگرن مزمن فکر می‌کنند باید از کافئین خودداری کنند، متوجه شدند که نوشیدن ۱ تا ۲ فنجان قهوه با خطر سردرد بیشتر همراه نیست.

به هر روی، این خبر و اخبار دیگر تنها به پیچیدگی رابطه‌ی کافئین، سردرد و میگرن می‌افزاید. همین پژوهش نشان داد افرادی که تقریباً هیچ‌وقت قهوه نمی‌نوشند، در روزهایی که فقط ۱ یا ۲ فنجان قهوه مصرف می‌کنند، احتمال بیشتری دارد که دچار میگرن شوند. بنابراین هنوز نیاز به پژوهش‌های بیشتری در این خصوص است.

مریخ‌نورد کریاسیتی ۷ ساله شد

مریخ‌نورد کریاسیتی ۷ ساله شد

مریخ‌نورد «کریاسیتی (Curiosity)» به‌تازگی هفتمین سالگرد تولد خود را جشن گرفت. این کاوشگر روز ۶ اوت سال ۲۰۱۲ (۱۶ مرداد ۱۳۹۱) روی سطح مریخ فرود آمد. اوایل سال ۲۰۱۹ بود که ناسا سرانجام رسما با مریخ‌نورد «آپورچونیتی (Opportunity)» خداحافظی کرد. خداحافظی با آپورچونیتی با توجه به دستاوردهای عدیده‌ و ارزشمندش، برای ناسا خبر بسیار بدی بود. اما خوشبختانه ناسا مریخ‌نورد دیگری هم مریخ داشت. مریخ‌نورد کریاسیتی که در سال ۲۰۱۱ از زمین به فضا پرتاب شد و هنوز سالم است و توانست هفتمین سالگرد تولدش را در سیاره‌ی سرخ جشن بگیرد.

کریاسیتی تاکنون توانسته اسرار زیادی از سیاره‌ی مورد علاقه ما انسان‌ها، مریخ را آشکار کند. به گزارش وب‌سایت آزمایشگاه پیش‌رانش جت ناسا، کریاسیتی هم‌اکنون در حال کاوش ناحیه‌ای به نام «واحد زایش خاک‌رس (Clay-Bearing Unit)» است، ناحیه‌ای که دارای سطح بالایی از خاک‌رس حاوی مواد معدنی متعدد است. این مواد معدنی از نظر دانشمندان اهمیت ویژه‌ای دارند، چراکه تنها در صورت حضور آب تشکیل می‌شوند و اگر این ادعا ثابت شود نشان می‌دهد که ممکن است مریخ روزگاری (بسیار دور شاید میلیون‌ها سال قبل) سیاره‌ای پر آب بوده است. واحد زایش خاک‌رس در یکی از شیب‌های کوه شارپ (ائولیس)، کوهی در گودال گیل واقع است. برخی نمونه‌برداری‌هایی که مریخ‌نورد کریاسیتی از خاک مریخ انجام داده نشانگر این است که این خاک برای زندگی میکروبی مناسب است. اما دانشمندان نمی‌توانند با اطمینان بگویند که باکتری یا نوعی زندگی میکروسکوپی در کره مریخ هنوز وجود دارد یا قبلا وجود داشته است.

به گفته ناسا، منبع انرژی هسته‌ای مریخ‌نورد کریاسیتی هنوز کارایی بالایی دارد و مریخ‌نورد می‌تواند برای سال‌های آینده نیز به کاوش‌های هیجان‌انگیزش ادامه ‌دهد و شاید سرنخ‌های بیشتری از حیات مریخی پیدا کند. در همین حال، انتظار می‌رود «مریخ‌نورد ۲۰۲۰ (Mars ۲۰۲۰)» که قرار است اوایل سال ۲۰۲۱ روی مریخ فرود بیاید، در اکتشاف مریخ به کریاسیتی بپیوندد.

کشف اتفاقی سَردیس فراموش‌شده اسکندر مقدونی

کشف اتفاقی سَردیس فراموش‌شده اسکندر مقدونی

باستان‌شناسان موفق به کشف سَردیس (مجسمه‌ای که تنها از چهره و گردن پیکرتراشی می‌شود) گمشده‌ای از اسکندر مقدونی شدند، البته این کشف نه در حین حفاری، بلکه به گفته آنجلیکی کوتاریدی از وزارت فرهنگ و ورزش یونان، این سردیس مرمر در گوشه‌ی تاریکی از موزه باستان‌شناسی ورژینا، یونان پیدا شد.

کوتاریدی در صفحه‌ی فیسبوک خود نوشت، احتمالاً این سردیس متعلق به قرن دوم ق.م، یعنی حدود ۲۰۰ سال پس از مرگ اسکندر مقدونی در سن ۳۲ سالگی است.

کوتاریدی در پست فیسبوک خود نوشت:

وقتی متصدیان انبار موزه در حال جابه‌جا کردن آثار باستانی انبار بودند، با وجود آسیب‌هایی که بر اثر نادیده گرفتن و گذشت زمان بر چهره‌ی زیبای او وارد شده بود، متوجه موهای افشان و چشمان رؤیایی‌اش شدم.

این سردیس متأسفانه آسیب زیادی دیده از جمله بینی آن که بیشترین آسیب را دیده است. به گزارش آژانس خبری آتن-مقدونیه (AMNA)، باستان‌شناسان پس از یافتن سردیس در زیر آوارهای یک دهکده یونانی آن را به انبار موزه منتقل کردند، اما این سردیس ارزشمند بعدها به باد فراموشی سپرده شد. به گفته کوتاریدی، در آن زمان و بعدا نیز هیچکس نفهمید این سردیس به اسکندر کبیر تعلق دارد.

اما کوتاریدی گفت که او بلافاصله دریافت که این سردیس تقریباً ۲۱۰۰ ساله متعلق به فاتح بزرگ تاریخ است که روزگاری از بالکان تا هندوستان را به زیر سیطره‌ی خود در آورده بود. کوتاریدی و همکارانش سردیس مرمرین را تمیز کرده و قصد دارند آن را در اواخر سال ۲۰۲۰ در موزه مقبره‌های سلطنتی آیگای، در ورژینا، جایی که خود کوتاریدی سمت مدیریت آن را برعهده دارد به نمایش بگذارند.

گام بزرگی برای احیای شیرهای ایرانی

گام بزرگی برای احیای شیرهای ایرانی

شاید مسرت‌بخش‌ترین خبری که هفته گذشته شنیدیم، خبر احیای نسل شیر ایرانی بود. متصدیان باغ‌وحش ارم تهران اعلام کردند، هم‌زمان با ۱۹ مرداد «روز جهانی شیر (World Lion Day)»، دو شیر وارداتی را که از باغ‌وحش‌های دیگر نقاط جهان به ایران آورده‌اند به‌هم معرفی کردند تا در آینده باهم جفت‌گیری کنند.

شیر ایرانی که مدت ۸۰ سال است که از دشت‌های فلات ایران ناپدید شده، زمانی در ناحیه‌ی گسترده‌ای از ایران تا هندوستان می‌زیست. خصوصا برای ما ایرانیان، شیر همواره نماد فرهنگی مهمی بوده است. شیر در گذشته و حال همواره «نماد دلیری» در فرهنگ ایران بوده است. چنانچه شاعر نامدار ایران‌زمین، حکیم سخن ابوالقاسم فردوسی ر حماسه‌ جاودانه‌اش، «شاهنامه» در وصف فریدون و سپاهیانش که خود را برای ستیز با ضحاک ستمگر آماده می‌کنند، چنین می‌سراید: «همه نامداران جوشن‌وران/ برفتند با گرزهای گران/ دلیران یکایک چو شیر ژیان/ همه بسته بر کین ایرج میان» متأسفانه، در حال حاضر تنها بخشی از این حیوانات باشکوه در طبیعت زنده مانده‌اند و این بخش تنها محدود به «پارک ملی ساسان-گیر» در گجرات هند می‌شود.

شیر ایرانی ۸۰ سال قبل از دشت‌های ایران ناپدید شد

به‌گفته‌ی ایمان معماریان، دامپزشک ارشد باغ‌وحش ارم، «کامران (شیر نر)» شیر ایرانی (که به آن شیر آسیایی نیز می‌گویند) ۶ سال دارد و روز ۱۱ اردیبهشت از باغ‌وحش بریستول انگلستان به باغ‌وحش ارم تهران منتقل شد. این برنامه جزئی از طرح تولید مثل گونه‌های درمعرض تحت نظارت «اتحادیه باغ‌وحش‌ها و آکواریوم‌های اروپا (EAZA)» است. در همین حال، خرداد ماه بود که شیر ایرانی ماده دیگری به نام «ایلدا» از ایرلند وارد ایران شد.

شیرهای ایرانی

مقامات باغ‌وحش ارم امیدوار هستند ‌کامران (شیر نر) که از باغ‌وحش بریستول انگلستان و ایلدا (شیر ماده) که از ایرلند وارد ایران شدند با جفت‌گیری، نسل شیرهای ایرانی را تداوم بخشند

به گزارش تهران تایمز، آقای معماریان در ادامه افزود، ما برنامه داریم با تولید مثل گونه‌های درمعرض خطر آن‌ها را از انقراض نجات دهیم و همه مراحل تحت کنترل است. وی با تأکید بر اینکه شیر ایرانی نمادی از حیات‌وحش ایران است، افزود که بسیاری از دوستداران محیط‌زیست علاقه‌مند به دیدن چنین گونه‌های ارزشمندی بودند اما به دلیل شکار کنترل نشده و نداشتن طعمه کافی این حیوانات ارزشمند به تدریج در کشور ما منقرض شدند.

در «فهرست قرمز گونه‌های درمعرض خطر (IUCN Red List)»، شیر آسیایی یا همان شیر ایرانی به دلیل کاهش شدید جمعیت و مساحت کم زیستگاهش درمعرض انقراض قرار گرفته است. سوابق تاریخی در ایران حاکی از آن است که شیر ایرانی روزگاری از دشت‌های خوزستان تا فارس زندگی می‌کرده است. اما از اواخر قرن سیزدهم خورشیدی، شیرهای ایرانی تنها در دامنه‌های غربی کوه‌های زاگرس و در نواحی جنگلی جنوب شیراز دیده شدند.

برخی از آخرین شیرهای کشور در سال ۱۳۱۹ در نواحی بین شیراز و جهرم در استان فارس دیده شدند و در سال ۱۳۲۰ یک شیر دیگر در حدود 65 کیلومتری شمال غربی دزفول در استان خوزستان مشاهده شد. در سال ۱۳۲۴ هم جسد آخرین شیر ایرانی در سواحل رودخانه کارون در استان خوزستان پیدا شد. کارشناسان، تخریب و آتش‌سوزی‌ مراتع، شکار بی‌رویه، از بین رفتن زیستگاه‌ها، ویروس هاری سگ‌سانان و کاهش جمعیت طعمه‌های بومی را از عمده‌ترین دلایل انقراض شیر ایرانی می‌دانند. البته نباید از نقش سوءمدیریت و نبود برنامه‌های حافظتی سازمان‌یافته در انقراض نماد حیات‌وحش ایران به‌راحتی گذشت.

غذاهای باستانی سَر میزهای مدرن

غذاهای باستانی سَر میزهای مدرن

نشریه گاردین به‌تازگی گزارشی از نحوه‌ی طبخ چند غذای باستانی منتشر کرده است. داستان غذاهای باستانی به مستند سال ۱۹۵۴ شبکه تلویزیونی بی‌بی‌سی درباره «مرد تولوند (Tollund Man)» برمیگردد. مرد تولوند، جسد مرمزی بود که در سال ۱۹۵۰ در باتلاق زغال‌سنگی در دانمارک کشف شد. در آن مستند، سر مورتیمر ویلر، باستان‌شناس مشهور (مهم‌ترین چهره‌ی باستان‌شناسی قرن بیستم انگلستان)، آخرین وعده غذایی این مرد ۲ هزار ساله را بازسازی کرد و تنها پس از چشیدن یک قاشق از غذای او اعلام کرد که مرد تولوند خودکشی کرده است.

از آن زمان تاکنون، بازسازی غذاهای باستانی تبدیل به یک سنت شده است. هفته گذشته، سیموس بلکلی، پژوهشگری که بیشتر به سبب خلق کنسول بازی ایکس‌باکس مشهور است، با استفاده از مخمری که در سفال‌های ۴۵۰۰ ساله مصری کشف شده بود، یک قرص نان خمیر ترش را در خانه‌اش در کالیفرنیا پخت. همکار او، دکتر سرِنا لاو، مصرشناسی از دانشگاه کوئینزلند، دست پخت او را «تند و خوشمزه» توصیف کرد.

بلکلی نمونه‌های (مخمر) را ۳ هفته قبل به کمک همکارش ریچارد بوآمن که یک زیست‌شناس مولکولی است از داخل منافذ یک ظرف سفالی از موزه دانشگاه هاروارد استخراج کرده بود. اما بلکلی و همکارانش، اولین کسانی نیستند که تلاش کردند از منابع باستانی مخمر استخراج کنند. همین اواخر بود که دانشمند دیگری به نام رائول کانو از دانشگاه ایالتی پلی‌تکنیک کالیفرنیا، مخمری را از زنبور عسل به دام افتاده در یک کهربای ۴۵ میلیون ساله استخراج کرد.

سفال‌های ۴۵۰۰ ساله

سفال‌های ۴۵۰۰ ساله‌‌ای که سیموس بلکلی و همکارانش مخمر لازم برای تهیه‌ی نان خمیر ترش باستانی را از آن استخراج کردند

غذاهای باستانی و تاریخی علاقه‌مندان وافری دارد. این علاقه رو به رشد را می‌توان از روی شمار کتاب‌هایی که برای طبخ این دست غذاهای باستانی چاپ می‌شوند فهمید، از کتاب «یک غذای بدوی، کتاب آشپزی عصر وایکینگ (An Early Meal, a Viking Age Cookbook)» نوشته‌ی دانیل سرا و هانا تونبرگ و کتاب «خزانه (Khazana)» نوشته صلیحه محمود احمد با دستورپخت‌ غذاهایی از هند، ایران باستان و مغولستان. در همین حال، شرکت سفالگری گراهام تیلور با ساخت سفال‌های دوران پارینه سنگی و آمفوراهای (خمره‌های یونانیان باستان) به باستان‌شناسان امکان تهیه‌ی گاروم (نوعی سس ماهی رومی) را می‌دهد و پژوهشگران دیگری مانند جیل هِچ هم هستند که غذاهای رومی را برای علاقه‌مندان به این غذاهای باستانی طبخ می‌کنند.

بااین‌حال، پروفسور دوریان فولر، باستان‌شناسانی از کالج دانشگاهی لندن می‌گوید، کسانی که به‌دنبال دستور پخت‌های اصلی برای بازسازی مزه و ذائقه مردمان باستان هستند باید خیلی احتیاط کنند. مخمر همه‌جا یافت می‌شود. اما حصول اطمینان از آلودگی این دست منابع در هنگام حفاری یا انتقال به موزه بسیار دشوار است. واضح است که این مواد در شرایط کاملاً استریل نگه‌داری نشدند.

کشف بقایای فسیلی بزرگ‌جثه‌ترین طوطی جهان

کشف بقایای فسیلی بزرگ‌جثه‌ترین طوطی جهان

طوطی عظیم‌الجثه‌ای که به‌تازگی در نیوزیلند کشف شده، ۱ متر قامت دارد و گمان می‌رود بزرگ‌ترین طوطی‌ای باشد که تاکنون در کره زمین ‌‌زیسته باشد. کشف اخیر یکی از شگفت‌انگیزترین کشفیات در نوع خود به‌حساب می‌آید. تصور می‌شود این طوطی، بزرگ‌ترین طوطی‌ تاریخ بوده و حتی امکان دارد پرندگان دیگر را نیز شکار کرده باشد. تخمین زده می‌شود این پرنده‌ی بزرگ حدود ۷ کیلوگرم وزن و ۱ متر قامت داشته است... (ادامه این مقاله را به همین قلم در زومیت بخوانید.)

معمای تاریک دیگری از دنیای مایاها

معمای تاریک دیگری از دنیای مایاها

«سینوتی مقدس (Sacred Cenote)»، در چیچن ایتزا (Chichén Itzá) در شبه‌جزیره یوکاتان مکزیک، شاید جلوه‌ی طبیعی بسیار زیبایی باشد، اما راز تاریکی را در خود نگه داشته است. سینوتی‌ مقدس که اهمیتی بسیار زیادی در فرهنگ مایاها دارد، گودا‌لی است که بر اثر ریزش سنگ ‌بستر آهکی پدیده آمده‌ است. مایاهای باستان باور داشتند سینوتی مقدس، دروازه‌ای برای ورود به دنیای مردگان است.

مایا-شناسان بر این باورند که آب، عنصری مهم در مراسم‌های آئینی قوم مایا بوده است، چراکه در زمان وقوع خشکسالی‌ها از خدایان دنیای مردگان طلب کمک می‌شد و هدایای زیادی به این ایزدان پیشکش می‌شده است. در دوران پیشاکلمبی، قربانی کردن انسان در فرهنگ مایاها، آیینی برای تغذیه خدایان بود. خون منبع قوی برای اقناع خدایان در این فرهنگ محسوب می‌شد و قربانی کردن موجودات زنده خصوصا انسان، پیشکش ارزشمندی بود. قربانی کردن یک انسان در فرهنگ مایاها، بالاترین نوع پیشکش نزد خدایان بود و مهم‌ترین آئین‌های مایاها نیز با قربانی انسان خاتمه می‌یافت.

تا ۱ میلیون گونه جانوری درمعرض انقراض قرار دارند

حال آنچه در دوره‌ی پساکلاسیک مایاها (از سال ۹۰۰ تا ۱۵۴۲ م.) رخ داده، دقیقاً مشخص نیست، اما واضح است که کوهی از قربانیان و هدایا به سوی این دروازه‌ی ورود به دنیای مردگان سرازیر می‌شده است. در اواخر قرن بیستم لایروبی در این محل باستانی انجام گرفت که حاصل آن کشف مجموعه بی‌نظیری از آثار و مصنوعات باستانی از جمله یشم، مس، طلا، منسوجات، سفال، بخوردان و مهم‌تر از همه، استخوان‌های و بقایای بیش از ۲۰۰ مرد، زن و کودک بود.

صحنه‌ای از فیلم سینمایی «آپوکالیپتو یا آخرالزمان (۲۰۰۶)» به کارگردانی مل گیبسون

صحنه‌ای از فیلم سینمایی «آپوکالیپتو یا آخرالزمان (۲۰۰۶)» به کارگردانی مل گیبسون که یک کاهن اعظم معبد چیچن ایتزا را نشان می‌دهد. در دوران پیشاکلمبی، قربانی کردن انسان در فرهنگ مایاها، آیینی برای اقناع خدایان بود

یک فرض این است که قربانیان داوطلب (احتمالاً چیزی شبیه مردمان دهکده‌ای که شرلی جکسون در داستان کوتاه «قرعه‌کشی» خود وصف می‌کند) بودند که دلیل چنین کاری مدت‌ها است فکر باستان‌شناسان را به خود مشغول کرده است. برخی تصور می‌کنند که قربانیان از دوردست آمده بودند، شاید اسیران جنگی بودند (همان‌طور که معمولاً برای قربانیان دیگر تمدن همجوار، آزتک نیز اتفاق می‌افتاد) یا نوعی غنیمت جنگی بودند که از سرزمین‌های فتح شده آورده شده و در پیشگاه خدایان قربانی می‌شدند. برخی دیگر از پژوهشگران نیز فرض می‌کنند که قربانیان این مراسم‌های خون‌بار مایاها از مردمان محلی انتخاب شده باشند و شاید هم از بردگان بودند که متنفذان و اشراف محلی فقط برای قربانی کردن می‌خریدند. حال، پژوهشگری به نام داگلاس پرایس از دانشگاه ویسکانسین، مدیسون در ایالات متحده برای روشن کردن این موضوع، ۴۰ دندان مختلف گردآوری شده از سینوتی مقدس را بررسی کرده است.

دکتر پرایس و همکارانش نتوانستند، هیچ الگوی مشخصی را از بررسی قربانیان تشخیص دهند. تجزیه‌وتحلیل آن‌ها حاکی از آن است که نیمی از ۴۰ قربانی از ساکنان محلی، حدود یک چهارم از جایی دورتر به اینجا آورده شده بودند و مابقی از مکان‌هایی آمده بودند که صدها کیلومتر (از غرب هندوراس تا ارتفاعات مرکزی مکزیک) با این محل فاصله داشته است. موضوع جالب‌تر اینکه، هیچ ارتباطی بین محل تولد و سن قربانیان نیز وجود نداشت.

بنابراین، یافته‌های جدید بازهم راز دیگری را به رازهای تاریک این فرهنگ باستانی افزود. اینکه چگونه کاهنان چیچن ایتزی قربانیان را انتخاب می‌کردند، در هاله‌ای از ابهام قرار دارد. تمام آنچه می‌دانیم این است که می‌توان گفت خدایان سینوتی مقدس چندان علاقه‌ای به انتخاب قربانیان خود نداشتند، از مرد و زن و کودک و بزرگسال و غریبه و محلی همه و همه در بین قربانیان دیده می‌شوند. در واقع فقط یک چیز واضح است و آن اینکه خدایان مایاها تشنه‌ی خون بودند و کاهنان هم باید هرچه از دستشان برمی‌آمد برای اقناع تشنگی آنان به این ماده حیاتی انجام می‌دادند.

کشف شواهدی از اولین سکونت‌های انسان در کوهستان‌ها

کشف شواهدی از اولین سکونت‌های انسان در کوهستان‌ها

پژوهشی جدید نشان می‌دهد که ممکن است انسان‌ها خیلی زودتر از آنچه تصور می‌شد، در نواحی مرتفع ساکن شده باشند. دانشمندان ادعا می‌کنند که قدیمی‌ترین شواهد از سکونت انسان‌های باستان در ارتفاعات را کشف کردند. آن‌ها اعلام کردند که در پناهگاه سنگی در ارتفاع ۳٫۴ کیلومتری بقایای استخوان‌ها، دست‌ساخته‌ها و آتشدان‌هایی متعلق به عصر پارینه سنگی میانه را پیدا کردند. دانشمندان اعلام کردند که انسان‌ها از حدود ۴۷ هزار سال قبل در مکانی در کوه‌های اتیوپی زندگی می‌کردند... (ادامه این مقاله را به همین قلم در زومیت بخوانید.)

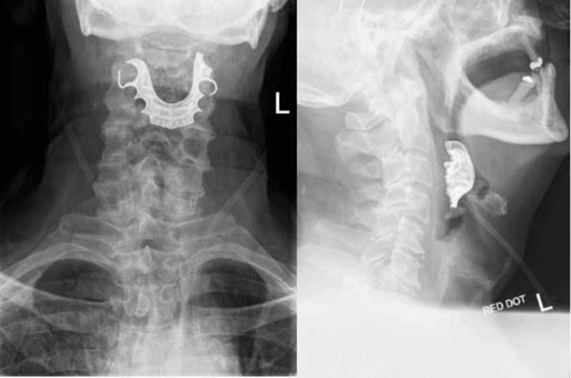
دندان‌های مصنوعی مردی برای یک هفته در گلویش جا ماندند!

دندان‌های مصنوعی مردی برای یک هفته در گلویش جا ماندند!

یک مرد مسن که پس از یک عمل جراحی معمولی برای یک هفته دچار خونریزی و درد شدید در گلویش شده بود به پزشکان مراجعه کرد و پزشکان با عکس‌برداری متوجه شیء عجیبی در گلوی او شدند! پزشکان اعلام کردند، بیمار مسن آن‌ها هفته‌ای کابوس‌وار را با سهل‌انگاری متخصصان اتاق عمل سپری کرده و مجبور شده، چند هفته هم در بیمارستان بستری شود تا عمل‌ جراحی دیگری را هم انجام دهد.

براساس گزارش نشریه «پزشکی بی‌ام‌جی(BMJ)»، دردها و خونریزی این مرد ۷۲ ساله انگلستانی بلافاصله پس از عمل جراحی موفق خارج کردن توده‌ای خوش‌خیم از سینه‌اش شروع شدند. دهان این بیمار دائما خون‌‌ریزی می‌کرد و او در بلع غذا هم مشکل داشت. بیمار پس از ۶ روز به اورژانس مراجعه کرد. پزشکان در ابتدا مشکوک بودند که علائم وی نتیجه عفونت دستگاه تنفسی و همچنین عوارض جانبی لوله‌گذاری در حین عمل است. بدین‌ترتیب، پزشکان بیمار بیچاره را با چند آنتی‌بیوتیک و داروهای دیگر به خانه فرستادند. بااین‌حال، او دو روز دیگر با حال بدتری به اورژانس مراجعه کرد و گفت که حتی نمی‌تواند داروهایی را که به او داده‌اند مصرف کند.

این بار این بیمار مسن در بیمارستان بستری شد، اگرچه پزشکان هنوز به اشتباه تصور می‌کردند که بیمار آن‌ها، به ذات‌الریه شدید مبتلا شده است. اما خوشبختانه پزشکان دیگری به پرونده این بیمار علاقه‌مند شدند و او را معاینه کردند و پس از عکس‌برداری‌ها مشخص شد که شیء عجیبی راه گلوی بیمار را مسدود کرده است. و همین‌جا بود که مرد مسن فاش کرد که دندان‌های مصنوعیش حدود یک هفته است که به‌طرز مشکوکی گم شدند. این اولین باری نیست که پزشکان به‌طور اتفاقی باعث شدند که بیماران در طی یک عمل جراحی یا در حین انجام بیهوشی، دندان‌های مصنوعی خود را ببلعند. به گزارش همین نشریه، طی یک دوره ۱۵ ساله، ۸۳ مورد از این دست گزارش شده از جمله موردی که منجر به مرگ بیمار شده است.

ترامپ می‌خواهد قانون حمایت از گونه‌های درحال انقراض را تضعیف کند

ترامپ می‌خواهد قانون حمایت از گونه‌های درحال انقراض را تضعیف کند

انقراض روز افزون گونه‌های درمعرض خطر در سراسر جهان، یک واقعیت غیرقابل‌انکار است و مسئله‌ای نیست که شود به‌راحتی انکارش کرد! اما تجدید نظر در «قانون حمایت از گونه‌های در حال انقراض (ESA)» ایالات متحده ممکن است بدترین خبر ممکن برای فعالان زیست‌محیطی و خود حیوانات در این کشور باشد. دونالد ترامپ، رئیس‌جمهور آمریکا دوشنبه هفته جاری اعلام کرد که نحوه‌ی اجرای این قانون را تغییر خواهد داد. این قانون برای اولین‌بار در سال ۱۹۷۳ در دوره‌ی پرزیدنت ریچارد نیکسون به تصویب رسیده بود.

دولت ترامپ قبلا در سال ۲۰۱۸ برای اولین‌بار این پیشنهاد را داده بود و به موجب این تغییرات، سازمان‌های دولت فدرال امکان دخیل کردن عوامل اقتصادی در تصمیم‌‌گیری‌های مربوط به حمایت از گونه‌های درمعرض خطر را خواهند داشت. به زبان ساده، هر جا منافع اقتصادی اقتضا کرد، با لودر و ماشین‌آلات خاک‌برداری وارد زیستگاه‌های محفاظت‌شده شوند! ولی دولت، معتقد است که تغییرات جدید قانون را «مدرنیزه» و «بهبود» می‌بخشد و ضمن ادامه حمایت از حیوانات باری را از دوش نهادهای قانون‌گذاری بر می‌دارد.

سَردیس مرمرین اسکندر مقدونی گوشه‌ی یک انبار کشف شد

بااین‌حال، فعالان محیط‌زیست نظر دیگری دارند و معتقدند که قوانین جدید تنها به صنعت (مشخصا لابی‌های دولت با برخی صنایع نفتی) کمک می‌کند و به آسیب به اکوسیستم‌ها ادامه خواهد داد و در نهایت منجر به تخریب کامل زیستگاه‌های جانوران می‌شود. موضوع نگران‌کننده اینکه گزارش اخیر سازمان ملل متحد که حاصل پژوهشی ۳ ساله است نشان می‌دهد، اگر روند فعلی ادامه پیدا کند تا ۱ میلیون گونه جانوری درمعرض انقراض قرار خواهند گرفت. واضح است که تغییر در نحوه‌ی اجرای قانون حمایت از گونه‌های در حال انقراض می‌تواند موجب تسریع این روند شود. براساس یک گزارش، این قانون تاکنون موجب محافظت از ۱۶۰۰ گونه جانوری و گیاهی و همچنین زیستگاه‌های مهم برای بقای آن‌ها شده است. این قانون همچنین مانع انقراض ۹۹ درصد از این ۱۶۰۰ گونه شده است.

زمین‌تخت‌گرای مشهور باز دست به کار شد!

زمین‌تخت‌گرای مشهور باز دست به کار شد!

مایک هیوز، ۶۳ ساله ملقب به «مایک کله‌خراب (Mad Mike)»، یک دانشمند موشکی خودآموخته، ماجراجو و نظریه‌پرداز زمین-تخت‌گرا است که معمولاً با موشک‌های بخارش (موشک‌هایی که از آب بسیار داغ برای تولید نیروی رانش بهره می‌برند) که در گاراژ خانه‌اش ساخته هر از چند گاهی خود را به آسمان پرتاب می‌کند. مایک قرار بود روز یکشنبه هفته جاری خود را به همراه موشک بخارش از بیابان موهاوی به آسمان پرتاب کند؛ اما نقص فنی جزئی موجب تعویق این پرتاب تا دست‌کم یک هفته دیگر شده است. مایک امیدوار است این بار بتواند تا ارتفاع ۱۵۰۰ متری یا ۵ هزار پایی برسد. اسپانسر مایک برای این برنامه جدید، یک اپلیکیشن دوست‌یابی است.

با وجود مشکلات متعدد، مایک در سال ۲۰۱۸ توانسته بود خود را با سرعت ۵۶۳ کیلومتر از امبوی، کالیفرنیا به آسمان پرتاب کند و با موشکش به ارتفاع ۵۷۲ متری (۱۸۷۵ پایی) دست پیدا کند و بعدا به کمک چتر نجات روی زمین فرود بیاید. مایک از دو چتر نجات روی دماغه‌ی موشک‌های خود استفاده می‌کند. اما پرواز جدید مایک، به نظر واقعا خطرناکتر خواهد بود. مایک هیوز قصد دارد این بار با سرعت ۶۴۳ کیلومتر بر ساعت از زمین بلند شود.

اما آیا مایک قادر خواهد بود انحنای زمین را از فراز موشک دست‌سازش ببیند؟ و همین باعث شود که به کروی بودن زمین معتقد شود؟ متأسفانه به نظر نمی‌رسد که چنین اتفاقی بیفتد، آقای هیوز باید برای دیدن انحنای زمین دست‌کم به ارتفاع ۱۰۷۰۰ متری (۳۵ هزار پایی) برسد. البته این هدف اصلی مایک نیست. چون واقعا تصور نمی‌کند روزی نظریه‌اش اشتباه از آب در بیاید. هیوز قبلا گفته بود، می‌خواهد شخصا «خط کارمن (Karman line)»- مرزی در فاصله‌ی ۱۰۰ کیلومتری سطح زمین که در آن آسمان به پایان می‌رسد و فضا شروع می‌شود-را ببیند تا بتواند با چشمان خودش سیاره‌ی تخت ما را مشاهده کند. زمان‌بندی هیوز هم برای پرواز امسال عالی است. سالی که ناسا پنجاهمین سالگرد فرود انسان روی ماه را جشن گرفت،‌ به همین جهت، این برنامه مهیج هیوز می‌تواند بهترین راه‌حل ممکن برای اثبات دروغ‌های ناسا باشد!

کشف پنگوئنی به جثه یک انسان

کشف پنگوئنی به جثه یک انسان

کشف بزرگ‌ترین طوطی تاریخ، تنها کشف بزرگی نبود که هفته گذشته در نیوزیلند انجام گرفت. بلکه کمی پس از انقراض دایناسورها، پنگوئنی در نیوزیلند سر از تخم درآورد که به اندازه یک انسان معمولی قامت داشت. پژوهشی جدید نشان می‌دهد که پنگوئن به‌تازگی کشف شده جثه‌ای بزرگ‌تر از پنگوئن‌های امپراطور امروزی داشته است. این هیولای آبزی که «کراسوالیا وایپرنسیس (Crossvallia Waiparensis)» نام‌گذاری شده، ۱٫۶ متر بلندای قامت و ۸۰ کیلوگرم وزن داشته است که در واقع میانگین جثه و وزن یک زن بالغ است. این پنگوئن از آبزیان باستانی نیوزیلند در دوره‌ی پالئوسن بین سال ۶۶ تا ۵۶ میلیون سال قبل تغذیه می‌کرده است.

اما با وجود جثه بزرگ این پرنده بی‌پرواز، بزرگ‌ترین پنگوئن کشف شده تاکنون نیست. رکورد هنوز دست پنگوئن غول‌پیکری به نام «پالیودیپتیس کلیکوسکی ( Palaeeudyptes Klekowskii)» است که حدود ۲متر بلندای قامت و وزنی حدود ۱۱۵ کیلوگرم داشته و ۳۷ میلیون سال قبل زندگی می‌کرده است. تیمی از دانشمندان موزه کانتربوری در شهر کرایست‌چرچ، نیوزیلند و موزه تاریخ طبیعی سنکنبرگ در فرانکفورت، آلمان، بقایای فسیلی این پنگوئن عظیم‌الجثه را بررسی کردند.

لی لاو، دیرینه‌شناس آماتور برای اولین‌بار موفق به کشف فسیل‌های پای این پنگوئن منطقه‌ی مشهور سنت باسانز در شهر وایپارا، کانتربری شده بود. این منطقه به‌دلیل ذخایر فسیلی غنی پرندگان «دوره‌ی میوسن» مشهور است. دیرینه‌شناسان به‌جز طوطی‌غول‌پیکری خبر کشف آن را در سطور قبل خواندید، بقایای عقاب غول‌پیکری به نام موآ، نوعی غاز عظیم‌الجثه، یک تیشه‌نوک (پرنده‌ی بزرگ‌جثه‌ای از راسته‌ی دُرناسانان) و همینطور پنج گونه‌ی دیگر پنگوئن غول‌پیکر را در این ناحیه کشف کرده بودند.

پنگوئن امپراتور در مقایسه با پنگوئن به‌تازگی کشف شده جثه‌ای به اندازه یک میگو دارد. این پرنده حدود ۰٫۹ تا ۱٫۲ متر بلندای قامت دارد و اما پنگوئن امپراطور تنها خویشاوندی دوری با پنگوئن به‌تازگی کشف شده دارد. نزدیک‌ترین خویشاوند کراسوالیا وایپرنسیس که او نیز در دوره‌ی پالئوسن اما در کراس والی در جنوبگان زندگی می‌زیسته، «کراسوالیا یونینولیا (Crossvallia unienwillia)» نام داشته است. به گفته پژوهشگران درحالی‌که امروز قاره‌های کره زمین از هم جدا شدند، اما در طول دوره‌ی پالئوسن، نیوزیلند و جنوبگان به هم متصل بودند.

پل اسکفیلد، مدیر موزه‌ی کانتربوری، استخوان پای فسیل پنگوئن به‌تازگی کشف شده را با استخوان مشابه یک پنگوئن تاکسیدرمی‌ شده یک امپراطور مقایسه می‌کند

پُل اِسکُفیلد، مدیر موزه‌ی کانتربوری و پژوهشگر ارش این تیم بین‌المللی، در این مورد گفت که هنگامی که اعضای گونه‌های مختف کراسوالیا زنده بودند، نیوزیلند و جنوبگان با امروز بسیار متفاوت بودند، این سرزمین‌ها در آن زمان، از جنگل پوشیده شده بودند و هر دو دارای آب و هوای بسیار گرم‌تری بودند. علاوه بر این، استخوان‌های پای هر دوی این پنگوئن‌های سرده‌ی کراسوالیا کاملاً نسبت به پنگوئن‌های مدرن متفاوت بودند. بررسی‌های کالبدشناسانه نشان می‌دهد که کراسوالیا بیشتر از پنگوئن‌های مدرن از پاهای خود در شنا استفاده می‌کرده است، یا اینکه پرندگان باستانی مانند پنگوئن‌های امروزی هنوز برای ایستادن روی دو پا سازگاری پیدا نکرده نبودند.

کشف بقایای کراسوالیا وایپرنسیس و دیگر پنگوئن‌های بزرگ که در دوره پالئوسن می‌زیستند، شواهد بیشتری را را دراختیار پژوهشگران قرار می‌دهد که نشان می‌دهد، پنگوئن‌ها اندکی پس از انقراض دایناسورهای در حدود ۶۶ میلیون سال پیش، جثه بزرگی داشتند.

ماده تاریک پیش از بیگ‌بنگ

ماده تاریک پیش از بیگ‌بنگ

یکی از اسرار جهان ما انرژی تاریک و ماده تاریک است. دانشمندان همواره در تلاش هستند تا بفهمند انرژی و ماده تاریک از چه ذراتی تشکیل شده است. اعتقاد بر این است که ماده تاریک حدود ۸۰ درصد از جرم کیهان را تشکیل می‌دهد. حال پژوهش جدیدی که توسط دانشمندان دانشگاه جان هاپکینز انجام گرفته نشان می‌دهد که ماده تاریک ممکن است قبل از «بیگ‌بنگ یا انفجار بزرگ» وجود داشته است.

این پژوهش همین‌طور فرض تازه‌ای را درباره چگونگی درک ماده تاریک و چگونگی تمایز آن با مشاهدات کهکشانی فراهم کرده است. در حقیقت، این پژوهش ارتباط جدیدی را بین فیزیک ذرات و نجوم نشان داد. اگر ماده تاریک از ذرات جدیدی تشکیل شده باشد که قبل از «بیگ بنگ» متولد شدند، بر نحوه‌ی پراکندگی منحصر‌به‌فرد کهکشان‌ها در آسمان تأثیر گذاشته‌اند. این ارتباط ممکن است بعدا سرنخ‌هایی برای کشف ماده تاریک نیز دراختیار پژوهشگران قرار دهد.

به هر حال، واضح است که ماهیت ماده تاریک هنوز برای ما به‌صورت یک معمای لاینحل باقی مانده، اما ستاره‌شناسان نشان دادند که ماده تاریک نقش مهمی در شکل‌گیری کهکشان‌ها و خوشه‌های کهکشانی ایفا می‌کند. و با وجود اینکه تاکنون هیچ شواهد قابل‌مشاهده‌ای از ماده تاریک در دست نیست،‌ دانشمندان وجود ماده تاریک را از روی آثار آن بر چگونگی حرکت مواد مرئی و و پراکنده شدنشان در فضا به اثبات رسانده‌اند. دانشمندان قبلا معتقد بودند ماده تاریک باید ماده‌ای باقیمانده از بیگ‌بنگ باشد.

دانشمندان مدت‌ها است به‌دنبال این ماده تاریک بودند، اما تاکنون جستجوهایشان بی‌ثمر باقی مانده است. بااین‌حال، پژوهشگران تیم دانشگاه جان هاپکینز اعتقاد دارند، اگر ماده تاریک واقعا از بیگ‌بنگ بر جای مانده باشد، در بسیاری از موارد دانشمندان باید علائم مستقیمی از ماده تاریک را در آزمایش‌ها فیزیک ذرات خود مشاهده می‌کردند. دانشمندان برای این پژوهش از یک سیستم ریاضی ساده بهره بردند و پیشنهاد دادند که ماده تاریک قبل از بیگ‌بنگ پدید آمده است. این رویداد ممکن است در دوره‌ای به نام «تورم کیهانی (Cosmic Inflation)» شکل گرفته باشد که در آن جهان با سرعتی بیش از سرعت نور در حال انبساط بود.

عنکبوت کنجکاو روی لنز دوربین ناسا

عنکبوت کنجکاو روی لنز دوربین ناسا

دوربین ناسا که برای شکار تصاویر «بارش شهابی برساوشی» طراحی شده بود، به‌جای شکار صحنه‌های دیدنی این پدیده نجومی زیبا با سایه‌ی یک عنکبوت مواجه شد. ناسا شبکه‌ای از ۱۷ دوربین تمام آسمان‌نما را دراختیار دارد که با استفاده از لنزهای چشم ماهی، تصاویر سیاه و سفیدی از کل آسمان را ثبت می‌کنند. این دوربین‌ها برای شناسایی گوی‌های آتشین طراحی شدد. گوی‌های آتشین همان شهاب‌سنگ‌هایی هستند که با نوری درخشان وارد جو کره زمین می‌شوند.

بااین‌حال، دوربین‌های تمام آسمان‌نمای ناسا تاکنون به‌جز شهاب‌سنگ‌ها، اشیای زمینی را هم نشان داده‌اند. قبلا ناسا تصاویری از حشرات، جغد و پرندگان دیگر را روی لنز دوربین‌های خود منتشر کرده بود. و این بازدید سر زده عنکبوت هم اولین باری نیست که ناسا با یک عنکبوت‌ برخورد می‌کند. سال ۲۰۰۷ بود که یک عنکبوت برای مدتی طولانی روی لنز دوربینی که آماده تماشای پرتاب شاتل فضایی آتلانتیس خزید.

نظرات