آنژیوگرافی چیست؟ اطلاعاتی که قبل از انجام انواع آنژیوگرافی باید بدانید

جمعه 22 اردیبهشت 1402 - 17:00
مطالعه 5 دقیقه
استفاده از آنژیوگرافی برای تشخیص گرفتگی عروق
تشخیص به‌موقع گرفتگی عروق خطر حمله‌ی قلبی و حتی مرگ را به‌میزان قابل‌توجهی کاهش می‌دهد و این دقیقا همان شرایطی است که با انجام آنژیوگرافی محقق می‌شود.
تبلیغات

مسدود‌شدن رگ‌ها با پلاک‌‌هایی از جنس چربی یا سایر مواد موجود در خون، علاوه بر افزایش احتمال سکته، خطر مرگ را نیز به‌دنبال دارد. تشخیص زودهنگام این مشکل و شروع درمان در سریع‌ترین زمان ممکن با کمک آنژیوگرافی ممکن است و ما در این مطلب سعی داریم تا شما را با این روش آشنا کنیم.

آنژیوگرافی چیست؟

آنژیوگرافی روشی است که برای بررسی رگ‌های خونی استفاده می‌شود. در این روش، پزشک با تزریق رنگ مخصوصی به‌نام ماده‌ حاجب به خون بیمار، رگ‌های بیمار را با کمک نوعی اشعه‌ی ایکس بررسی می‌کند. تصاویر گرفته‌شده در این روش، بسیار کاربردی‌ هستند و به پزشک معالج کمک می‌کنند تا بتواند هرگونه گرفتگی را در رگ‌های بیمار تشخیص دهد.

تصاویر آنژیوگرافی که با نام «آنژیوگرام» شناخته می‌شوند، وضوح بسیار بالایی نسبت به نتایج عکس‌برداری معمولی دارند؛ بنابراین می‌توانند کمک بسیار بزرگی به پزشکان بکنند و اطلاعات لازم را برای شروع درمان مناسب در اختیار آن‌ها قرار دهند.

آنژیوگرافی، در بخش رادیولوژی بیمارستان انجام می‌شود و بیمار درحین انجام این تصویربرداری کاملا هوشیار است؛ البته گاهی اوقات برای آرامش بیشتر بیمار، از آرام‌بخش هم استفاده می‌شود. برای شروع تصویربرداری، از بیمار خواسته می‌شود تا روی میز اشعه ایکس دراز بکشد. در مرحله‌ی بعد، پس از بی‌حس‌کردن موضعی محل مورد‌نظر، برش بسیار ریزی روی شریان بیمار ایجاد می‌شود. این برش ممکن است روی کشاله‌ی ران یا در نزدیکی مچ دست باشد.

پزشک پس از ایجاد برش، لوله‌ی بسیار نازک و انعطاف‌پذیری به‌نام کاتتر را وارد شریان بیمار کرده و ماده‌ی حاجب را به بدن وی تزریق می‌کند. این لوله، به‌سمت ناحیه‌ای هدایت می‌شود که پزشک قصد بررسی آن را دارد. درطول مدتی که ماده‌ی حاجب در خون بیمار در جریان است، عکس‌های بسیار دقیق و باکیفیتی از رگ‌ها گرفته می‌شوند.

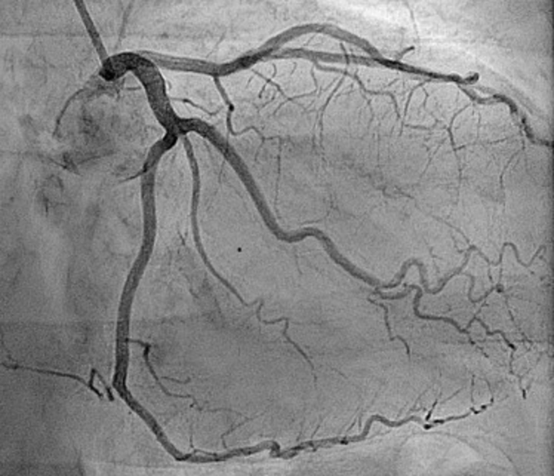
تصویر واضح عروق خونی در آنژیوگرافی
وضوح بالای عروق خونی در آنژیوگرافی

عوارض آنژیوگرافی و زنگ خطرهایی که باید جدی گرفته شوند

درحالت‌ کلی باید این موضوع را بدانید که آنژیوگرافی یکی از روش‌های بی‌خطر برای بررسی عمکرد عروق است؛ اما مانند هر روش دیگری، امکان دارد عوارض نادری را نیز برای بیمار به‌همراه داشته باشد. کبودی، درد و برآمدگی خفیف در محل برش، شایع‌ترین عوارض آنژیوگرافی هستند که ممکن است پس از تصویربرداری با آن‌ها مواجه شوید؛ البته این عوارض بسیار خفیف هستند و معمولا چند روز تا چند هفته پس از آنژیوگرافی ازبین می‌روند.

درکنار عوارض شایع و طبیعی، مواردی هم وجود دارند که درصورت مشاهده‌ی آن‌ها حتما باید پزشک معالج خود را در جریان قرار دهید:

  • درد شدید و مقاوم به مسکن در محل برش
  • ظاهر متفاوت دست یا پایی که برش روی آن انجام شده با دست و پای مخالف
  • قرمزی، تورم و داغ‌شدن پوست
  • خونریزی ادامه‌دار محل برش
  • وجود توده‌ی سفت و دردناک در نزدیکی محل برش

چه کسانی نیاز به آنژیوگرافی قلب دارند؟

آنژیوگرافی کرونری یا قلب، همان‌طور که از نام آن هم مشخص است برای بررسی عروق قلبی مورد استفاده قرار می‌گیرد. این نوع آنژیوگرافی، کمک بسیار مهمی در تشخیص بیماری‌های قلبی به پزشکان ارائه می‌دهد. به‌گزارش مایو کلینیک، گروهی از بیماران وجود دارند که انجام آنژیوگرافی قلب برای آن‌ها ضروری است:

  • افرادی که با بیماری‌های قلبی به‌دنیا آمده‌اند.
  • احساس درد در قفسه‌‌ی سینه، فک، گردن یا بازو که با آزمایش‌های دیگر قابل‌توجیه نیست.
  • افرادی که نتایج تست‌های غیرتهاجمی آن‌ها طبیعی نبوده است.
  • افراد مبتلا به مشکلات دریچه‌ی قلب که نیاز به جراحی دارند.
  • افرادی که قفسه‌ی سینه‌ی آن‌ها دچار آسیب شده است.

آنژیوگرافی چه مدتی طول می‌کشد؟

یکی از رایج‌ترین سوالاتی که درمورد آنژیوگرافی برای بیماران مطرح می‌شود، مدت‌زمانی است که این تست طول خواهد کشید. آنژیوگرافی معمولا بین ۳۰ دقیقه تا ۲ ساعت به‌طول می‌انجامد و در اکثر موارد بیمار پس از انجام این تست از بیمارستان مرخص می‌شود؛ البته در برخی از موارد لازم است بیمار حداقل یک شب در بیمارستان بستری شود.

گاهی اوقات ممکن است یک جلسه‌ی جداگانه برای شما تعیین شود تا با حضور در بیمارستان، به برخی از سوالات درباره‌ی سابقه‌ی پزشکی خود پاسخ دهید و آزمایش‌های اولیه روی شما انجام شود. در این جلسه، اطلاعات لازم درخصوص آنژیوگرافی در اختیارتان قرار می‌گیرد و به سوالات شما نیز پاسخ داده می‌شود.

انواع آنژیوگرافی

آنژیوگرافی انواع مختلفی دارد و پزشک معالج باتوجه به این موضوع که قصد دارد عروق چه قسمت‌هایی از بدن را مورد بررسی قرار دهد، نوع آنژیوگرافی مناسب را انتخاب می‌کند. تعدادی از رایج‌ترین انواع آنژیوگرافی عبارت هستند از:

  • آنژیوگرافی عروق کرونر: برای بررسی قلب و عروق خونی اطراف آن مورد استفاده‌ قرار می‌گیرد.
  • آنژیوگرافی کلیه: برای بررسی رگ‌هایی استفاده می‌شود که خون موردنیاز کلیه‌ها را تامین می‌کنند.
  • آنژیوگرافی مغز: برای بررسی عروق خونی داخل و اطراف مغز مورد استفاده‌ی پزشکان قرار می‌گیرد.
  • آنژیوگرافی ریه: این نوع آنژیوگرافی، برای بررسی رگ‌هایی که خون ریه‌ها را تامین می‌کنند مورد استفاده قرار می‌گیرد.

آنژیوگرافی مغز چیست؟

آنژیوگرافی مغز (Cerebral angiography)، برای بررسی عروق مغزی از نظر ناهنجاری‌هایی مانند رگ‌برآمدگی (آنوریسم) و تصلب شرایین مورد استفاده قرار می‌گیرد. یکی از مهم‌ترین مزایای آنژیوگرافی مغز این است که امکان دارد نیاز به جراحی بیمار را ازبین بردارد؛ چراکه تصاویر بسیار واضحی را از وضعیت عروق مغزی در اختیار پزشک قرار می‌دهد.

در این روش که آنژیوگرافی تفریق دیجیتال داخل شریانی (IADSA) هم نامیده می‌شود، برش کوچکی روی پا یا بازو ایجاد شده و کاتتر از طریق آن وارد شریان بیمار می‌شود. تصاویر به‌دست‌آمده از آنژیوگرافی، به‌صورت دیجیتالی دست‌کاری می‌شوند تا پوشش استخوانی جمجمه حذف شود و پزشک بتواند رگ‌های مغز بیمار را به‌طور واضح مشاهده کند.

آنژیوگرافی گردن چیست؟

آنژیوگرافی گردن (carotid angiography) یکی از انواع آنژیوگرافی است که برای بررسی شریان‌های کاروتید، مورد استفاده‌ی پزشکان قرار می‌گیرد. شریان‌های کاروتید که به دو نوع شریان‌های داخلی و خارجی تقسیم می‌شوند، خون را از قلب شما به سمت سر و گردن هدایت می‌کنند. هرگونه گرفتگی در این شریان‌ها، خطرات بسیار جدی برای سلامت شما به‌دنبال خواهد داشت.

آنژیوگرافی کاروتید درحدود ۶۰ تا ۹۰ دقیقه طول می‌کشد و قبل از انجام آن ممکن است برای آرامش بیمار، از آرام‌بخش استفاده شود. درحین انجام آنژیوگرافی، قلب بیمار هم به‌دقت مورد بررسی قرار می‌گیرد. به‌طور کلی باید گفت که آنژیوگرافی گردن، اتفاق دردناکی نیست و بیمار معمولا در ابتدا و هنگام تزریق ماده حاجب ممکن است مقداری احساس گرما را تجربه کند.

سی‌تی آنژیوگرافی چیست؟

سی‌تی آنژیوگرافی (computed tomography angiography)، ترکیبی از سی‌تی اسکن و آنژیوگرافی است که برای گرفتن تصاویر بسیار واضح از عروق موجود در قسمت‌های مختلف بدن استفاده می‌شود. تصویر بافت‌های بدن در سی‌تی اسکن معمولی تیره هستند؛ اما در سی‌تی آنژیوگرافی که ماده‌ی حاجب به بدن تزریق می‌شود، تصاویر به‌دست‌آمده سفید هستند و امکان بررسی دقیق‌تر را در اختیار پزشک قرار می‌دهند.

آنژیوگرافی، یک روش کم‌ تهاجمی است که برای بررسی وضعیت عروق در قسمت‌های مختلف بدن مورد استفاده قرار می‌گیرد و به پزشک در تشخیص بیماری‌های عروقی کمک می‌کند. شما پس از انجام این تست، نیاز به یک روز استراحت دارید و معمولا پس از آن می‌توانید به زندگی عادی خود برگردید.

سوالات متداول

  • آنژیوگرافی چیست؟

    آنژیوگرافی روشی است که در آن با تزریق ماده‌ی حاجب به عروق، وضعیت رگ‌های بیمار مورد بررسی قرار می‌گیرد.

  • انواع آنژیوگرافی کدام‌اند؟

    برخی از متداول‌ترین انواع آنژیوگرافی عبارت هستند از:

    آنژیوگرافی عروق کرونر

    آنژیوگرافی مغز

    آنژیوگرافی ریه

    آنژیوگرافی کلیه

نظرات