پنجاه سال پیش پزشکان برای اولین‌بار داخل جمجمه‌ انسان را دیدند

پنج‌شنبه 15 مهر 1400 - 18:50
مطالعه 6 دقیقه
پنجاه سال پیش، اولین دستگاه سی‌تی اسکن برای عکس‌برداری از مغز انسان رونمایی و علم پزشکی برای همیشه متحول شد.
تبلیغات

احتمال مخفی‌شدن اشیای قیمتی در اتاقک‌های مخفی بسیار وسوسه‌انگیز است. در اواسط دهه‌ی ۱۹۶۰، مهندسی بریتانیایی به نام گادفری هانسفیلد به‌دنبال روشی برای کشف اتاقک‌های مخفی اهرام مصر با پرتوهای کیهانی بود. این ایده‌ی هانسفیلد را می‌توان بدین‌صورت تفسیر کرد: نگاه‌کردن به داخل جعبه‌ای بدون بازکردن آن.

درنهایت هانسفیلد توانست به روش استفاده از پرتوهای پرانرژی برای آشکارکردن آنچه برای چشم نامرئی است، پی ببرد. او روشی برای دیدن داخل جمجمه ابداع و تصویری از مغز نرم داخل آن ثبت کرد. اولین تصویر توموگرافی کامپیوتری یا سی‌تی اسکن (CT scan) مغز انسان پنجاه سال پیش در ۱ اکتبر ۱۹۷۱ تولید شد. گرچه هانسفیلد هرگز نتوانست این اختراعش را روی اهرام مصر پیاده‌سازی کند، درعوض توانست با آن به استکهلم و کاخ باکینگهام راه پیدا کند.

نوآوری مهندسی

در اوایل زندگی گادفری هانسفیلد، هیچ نشانه‌هایی از نبوغ برای رسیدن به اختراعی بزرگ دیده نمی‌شد و دانش‌آموز ممتازی نیز نبود. هانسفیلد در ابتدای جنگ جهانی دوم به نیروی هوایی سلطنتی بریتانیا پیوست؛ اما شباهت زیادی به سربازان نداشت. او بیشتر مانند جادوگری با ماشین‌آلات الکتریکی به‌ویژه دستگاه رادار جدیدی بود که به راه‌یابی بهتر خلبانان در شب‌های ابری و سیاه کمک می‌کرد.

هانسفیلد پس از جنگ به توصیه‌ی فرمانده‌‌ی خود مدرک مهندسی‌اش را گرفت و در شرکت EMI مشغول به کار شد. EMI بعدها به‌خاطر فروش آلبوم گروه بیتلز معروف شد؛ اما کار خود را در زمینه‌ی صنایع موسیقی و برق با تمرکز بر مهندسی برقو الکترونیک آغاز کرد. استعداد‌های ذاتی هانسفیلد باعث شد به سرپرستی تیم سازنده‌ی پیشرفته‌ترین کامپیوتر مین‌فریم در بریتانیا انتخاب شود. EMI در دهه‌ی ۱۹۶۰ می‌خواست از بازار رقابتی کامپیوتر خارج شود و مطمئن نبود باید با مهندس نابغه‌اش چه کار کند.

هانسفید در تعطیلاتی اجباری و حین تفکر به آینده و کارهایی که قرار است برای شرکت انجام دهد، فیزیک‌دانی را ملاقات کرد که از کیفیت کم پرتوهای ایکس مغز شکایت می‌کرد. پرتوهای ایکس معمولا جزئیات استخوان را با دقت زیادی نشان می‌دهند؛ اما مغز مثل حبابی بی‌نظم است و در‌مقابل پرتو ایکس مانند مه به‌نظر می‌رسد. این مسئله هانسفیلد را بر آن داشت تا به ایده‌ی قدیمی‌اش درباره‌ی یافتن ساختارهای مخفی بدون باز‌کردن جعبه فکر کند.

روشی جدید که نادیده‌ها را آشکار می‌کند

هانسفیلد روشی جدید برای حل مسئله تصویربرداری از داخل جمجمه ابداع کرد. او ابتدا مغز را مانند یک قرص نان به چند بخش متوالی تقسیم کرد و سپس، مجموعه‌ای از پرتوهای ایکس را به داخل هر لایه تاباند و این فرایند را برای درجه‌های مختلف نیم‌دایره تکرار کرد. قدرت هر پرتو در سمت مخالف مغز ثبت می‌شود؛ به‌طوری‌که اشعه‌های قوی‌تر نشان‌دهنده‌ی حرکت در مسیری با تراکم کمتر هستند. درنهایت، هانسفیلد در مبتکرانه‌ترین اختراعش الگوریتمی برای بازسازی تصویری از مغز بر‌‌اساس تمام لایه‌ها ایجاد کرد و توانست از‌طریق مهندسی معکوس و استفاده از سریع‌ترین کامپیوترهای عصر خود، مقدار جعبه‌های کوچک در هر لایه از مغز را محاسبه‌ کند.

ارزیابی اسکن

پرتوی ایکس به داخل برش‌های مغزی با زاویه‌های ۱ تا ۱۸۰ درجه‌ در یک نیم دایره نفوذ می‌کند

بااین‌حال، در‌این‌بین مشکلی وجود داشت: EMI در بازار پزشکی مشارکت نمی‌کرد و تمایلی هم نداشت به این عرصه ورود کند. شرکت EMI به هانسفیلد اجازه داد با بودجه‌ای محدود روی محصولش کار کند. او مجبور بود در بسیاری از تجهیزات پژوهشی صرفه‌جویی کند و دستگاه اسکن کوچکی ساخت که به‌راحتی روی میز ناهارخوری قرار می‌گرفت.

حتی با وجود اسکن‌های موفق اشیای بی‌جان و بعدها مغز گاوهای کوشر، این دستگاه نتوانست تأثیرگذار باشد. هانسفیلد برای پیشرفت پروژه‌ی اسکنر مغز انسان به سرمایه‌گذار نیاز داشت. او مخترعی نابغه بود؛ اما در برقراری ارتباط و بازاریابی چندان موفق نبود و خوشبختانه رئیس او، بیل اینگهام، از ارزش طرح هانسفیلد و مشکلات او برای حفظ پروژه در EMI آگاه بود.

اینگهام می‌دانست ضمانتی برای رسیدن به محصول جدید وجود ندارد؛ ولی وزارت بیمه‌ی اجتماعی و سلامت بریتانیا را متقاعد کرد که تجهیزات اسکن را برای بیمارستان‌ها بخرند. اینگهام به‌طور معجزه‌آسایی چهار دستگاه اسکن را پیش‌فروش کرد؛ در‌نتیجه هانسفیلد هم به‌سرعت گروهی برای ساخت دستگاه اسکن سریع و ایمن انسان جمع‌آوری کرد.

هانسفیلد برای آزمایش دستگاهش به بیماران واقعی نیاز داشت؛ ازاین‌رو، از یکی از عصب‌شناسان درخواست کمک کرد. گروه هانسفیلد دستگاه را در ۱ اکتبر ۱۹۷۱ در بیمارستان اتکینسون مورلی لندن نصب و اولین بیمار را با آن اسکن کردند: زنی میان‌سال با علائم تومور مغزی. اسکن‌های اولیه سریع نبودند و سی دقیقه برای هر اسکن زمان لازم بود و پردازش داده‌ها روی کامپیوترهای مین‌فریم ۲/۵ ساعت طول می‌کشید.

اسکن مغزی

اولین سی‌تی اسکن پزشکی، تومور مغزی به‌شکل حبابی تیره در عکس مشخص شده است

در اولین اسکن، توده‌ای کیسه‌ای هم‌اندازه با یک آلو در لوب پیشین سمت چپ دیده می‌شد. بدین‌ترتیب با اختراع این دستگاه، روش‌های دیگر عکس‌برداری از مغز منسوخ شدند.

میلیون‌ها سی‌تی اسکن در سراسر جهان

EMI بدون تجربه‌ی قبلی در بازار پزشکی ناگهان انحصار دستگاه اسکن را با تقاضای چشمگیری از‌آنِ خود کرد. تولید‌ و فروش اولیه‌ی دستگاه سی‌تی اسکن با موفقیت زیادی همراه بود؛ اما در مدت پنج سال، شرکت‌های بزرگ‌تر و باتجربه‌تر مثل GE و Siemens با ظرفیت‌های پژوهشی بیشتر اسکنرهای بهتری تولید کردند و تولید را به مقیاس جهانی رساندند. EMI در‌نهایت از بازار پزشکی خارج و به درس عبرتی تبدیل شد که به‌جای شراکت با شرکت‌های بزرگ به تک‌روی روی آورد.

نوآوری هانسفیلد علم پزشکی را متحول کرد و سال ۱۹۷۹ برنده‌ی جایزه‌ی نوبل فیزیولوژی یا پزشکی شد و سال ۱۹۸۱ نشان شوالیه را از ملکه‌ی الیزابت دریافت کرد. او تا آخرین روزهای عمرش در سال ۲۰۰۴ به اختراعاتش ادامه داد و درنهایت، در ۸۴ سالگی درگذشت. سال ۱۹۷۳، رابرت لدلی، مخترع آمریکایی، اسکنری برای کل بدن اختراع کرد که می‌توانست از اندام‌های دیگر بدن مثل رگ‌های خونی و استخوان‌ها عکس‌برداری کند. دستگاه‌های اسکنر امروزی سریع‌تر هستند و راه‌حل بهتری فراهم می‌کنند و مهم‌تر از هر چیز پرتودهی کمتری دارند.

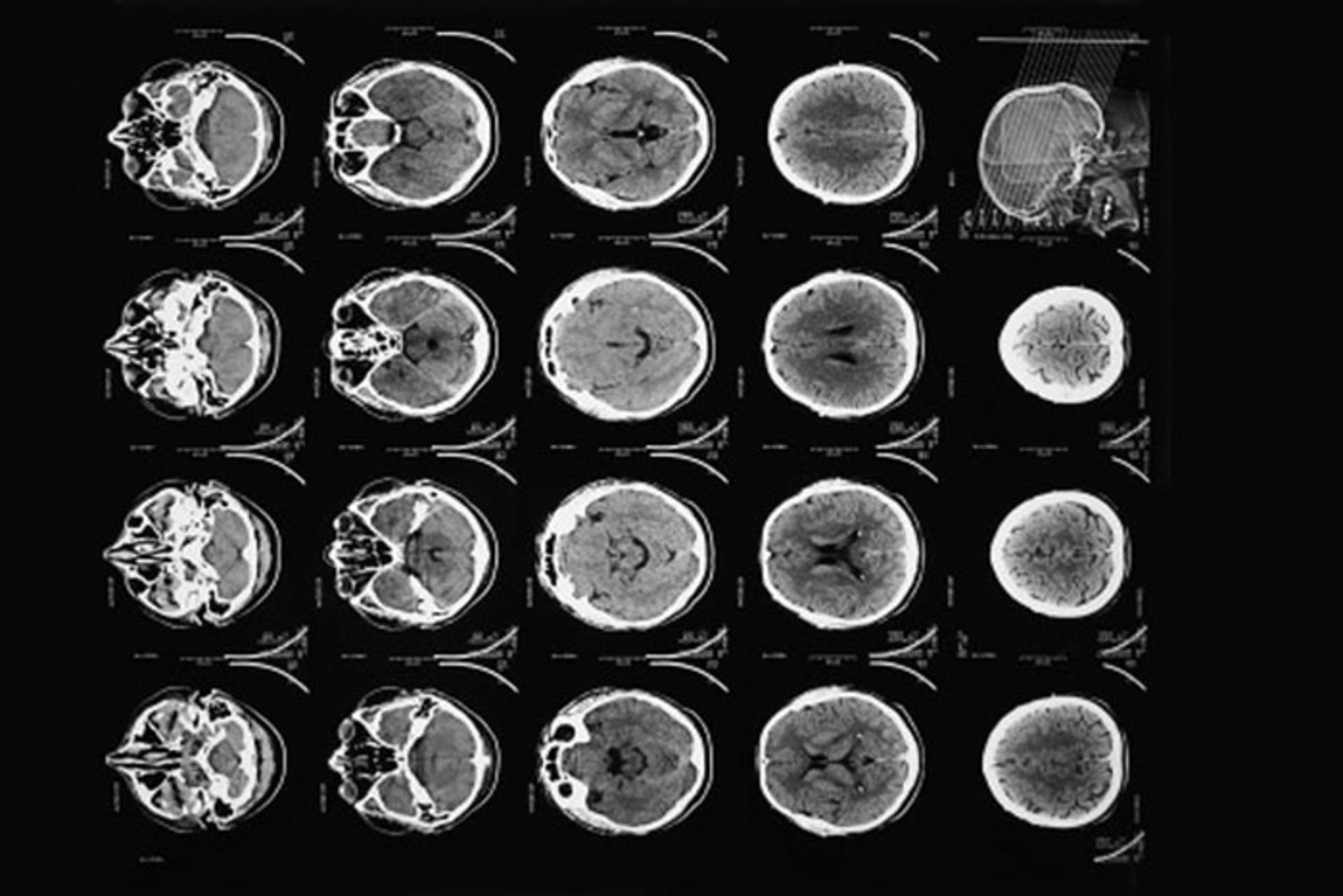
تصویر اسکن مغزی

سی‌تی‌ اسکن‌های مدرن تصاویری با وضوح بیشتر از برش‌های مغز انسان به‌دست می‌دهند

تا سال ۲۰۲۰، تعداد اسکن‌های سالانه در ایالات متحده به هشتادمیلیون رسید. برخی پزشکان معتقدند آمار فراتر از این رقم است و یک‌سوم اسکن‌ها معمولا غیرضروری هستند. با‌این‌حال، سی‌تی اسکن به سلامت بسیاری از بیماران سراسر جهان در مواردی مثل شناسایی تومورها و تشخیص جراحی و جست‌وجوی سریع جراحت‌های داخلی پس از تصادف کمک کرده است.

حالا ایده‌ی هانسفیلد درباره‌ی اهرام مصر را به‌یاد بیاورید. سال ۱۹۷۰، دانشمندان آشکارسازهای پرتوی کیهانی را در پایین‌ترین محفظه‌ی هرم خفرع قرار دادند و متوجه شدند محفظه‌ی مخفی درون هرم وجود ندارد. سال ۲۰۱۷، گروه دیگری آشکارسازهای پرتوی کیهانی را در هرم بزرگ جیزه قرار دادند و محفظه‌ای مخفی را پیدا کردند که دسترسی به آن غیرممکن بود و بعید است دسترسی به آن در آینده‌ی نزدیک ممکن شود.

تبلیغات
تبلیغات

نظرات

پنجاه سال پیش پزشکان برای اولین بار داخل جمجمه‌ انسان را دیدند - زومیت