برای افزایش سلامت دندان‌ها چه کنیم؟

چهارشنبه 17 بهمن 1397 - 14:00
مطالعه 8 دقیقه
برای حفظ و افزایش سلامت دندان‌ها و جلوگیری از ایجاد جرم دندان یا پوسیدگی آن‌ها، استفاده از نخ دندان و مسواک زدن به‌تنهایی کافی نیست و موارد دیگری را نیز باید رعایت کرد.
تبلیغات

همه‌ی ما می‌دانیم که برای حفظ سلامت دندان ‌های خود، باید حداقل دو بار در روز مسواک بزنیم و شیرینی‌جات و دیگر مواد حاوی شکر را کمتر مصرف کنیم؛ این دو کار جزو مهم‌‌ترین اصول برای حفظ سلامت دندان‌ها به‌شمار می‌روند؛ اما در بسیاری از موارد بااینکه همیشه این دو اصل را رعایت می‌کنیم، باز برخی از دندان‌ها خراب می‌شوند و باید آن‌ها را پر کرد. برای جلوگیری از این مشکل باید موارد دیگری مثل درست مسواک زدن، استفاده از خمیردندان حاوی فلوراید و سایر موارد را نیز رعایت کنید که در این مقاله به بیان برخی‌از آن‌ها می‌پردازیم.

درست مسواک زدن

مسواک زدن/ brushing

اگر کاملا درست مسواک بزنید، جرم دندان (ترکیبی‌از باکتری‌های مختلف، اسیدهای تولید‌شده دراثر فعالیت‌های آن‌ها و ذرات چسبنده و باقی‌مانده‌های مواد غذایی) که به دندان‌ها می‌چسبند، به‌راحتی پاک می‌شوند.

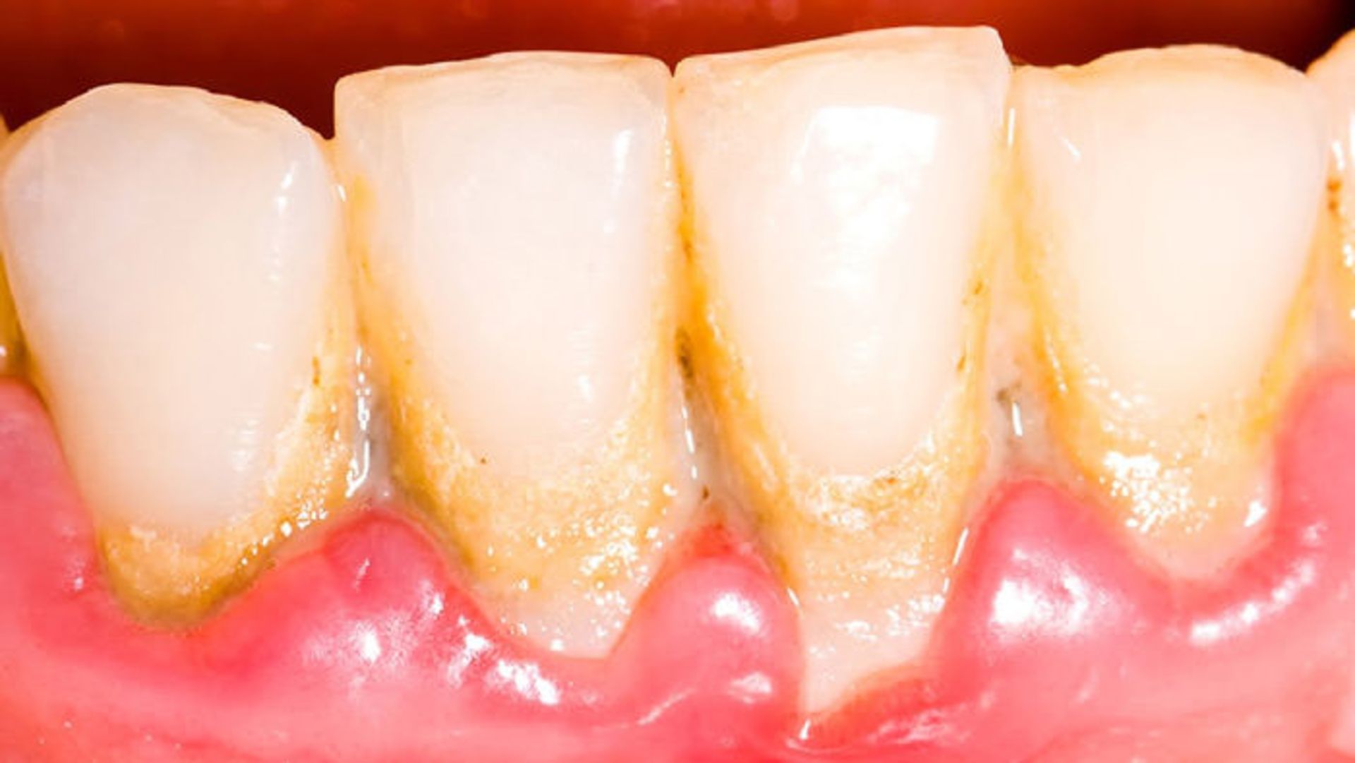
جرم دندان‌‌ها بلافاصله پس از صرف غذا تشکیل می‌‌شود؛ البته این جرم که ظاهر دندان‌ها را نیز خراب می‌کند، در همان لحظه افراد را آزار نمی‌دهد؛ اما باقی ماندن آن‌ها در دهان برای مدت طولانی و افزایش میزان آن‌ها، باعث آغاز آسیب‌دیدن دندان می‌شود. زمان دقیق شروع آسیب دندان‌ها به‌دلیل وجود جرم روی آن‌ها هنوز مشخص نیست؛ اما این فرایند حداقل بیش از ۱۲ ساعت پس از‌ صرف غذا شروع می‌شود.

جرم دندان/ tooth plaque

شکر یکی از موادی است که باعث ایجاد بیشترین آسیب به دندان می‌شود؛ زیرا باکتری‌ها این ماده را مصرف می‌کنند و فعالیت آن‌ها منجر به تولید اسیدهای مضر و حل مواد معدنی تشکیل‌دهنده‌‌ی دهان و درنهایت موجب ایجاد سوراخ‌‌های ریزی در دندان می‌شود که قابل‌مشاهده نیستند.

مصرف بالای شکر یکی از عوامل اصلی پوسیدگی دندان است

در‌صورتی‌که این روند ادامه پیدا کند و این سوراخ‌های ریز ترمیم نشوند، حفره‌های بزرگی در دندان‌های پوسیده به‌وجود می‌آید که ترمیم آن‌ها هزینه‌ی زیادی دارد و در صورت درست نگه‌داری نکردن از این دندان‌ها، ممکن است باز هم آسیب ببینند.

دندان پوسیده/ decay tooth

برای جلوگیری از این مشکل بزرگ کافی است شب قبل از خواب و یک‌بار هم در طول روز، تنها ۲ دقیقه برای مسواک زدن وقت صرف کنید. مسواک زدن به‌صورت مرتب از رسیدن فعالیت باکتری‌‌ها به مرحه‌ای که بیشترین میزان اسید توسط آن‌ها تولید می‌شود، جلوگیری می‌کند.

مسواک‌‌های برقی نسبت به مسواک‌های دستی عملکرد بهتری دارند و به‌دلیل اینکه دارای سر کوچکی هستند، قسمت‌هایی از دندان‌ها را که دسترسی به آن‌ها دشوار است، به‌‌راحتی تمیز می‌کنند. مسواک‌هایی که برس نسبتا نرمی دارند، می‌توانند دهان را بدون آسیب‌زدن به لثه تمیز کنند؛ البته تنها چیزی که اهمیت زیادی دارد، مسواک زدن است و افراد می‌توانند با‌توجه‌به نوع‌ دندان‌ها و توانایی مالی خود، مسواک‌های مختلفی انتخاب کنند.

استفاده از خمیردندان حاوی فلوراید و قرص‌های مشخص‌کننده جرم دندان

خمیردندان حاوی فلوراید

خمیردندان‌های حاوی فلوراید مناسب‌ترین نوع خمیردندان‌ها هستند. فلوراید از پوسیدگی دندان جلوگیری می‌کند و باعث ترمیم حفره‌های ریز ناشی‌از حل شدن مواد معدنی دندان و همچنین افزایش استحکام دندان می‌شود.

بهترین خمیردندان‌های حاوی فلوراید برای جلوگیری از پوسیدگی دندان، خمیردندان‌هایی هستند که ppmF آن‌ها (میزان غلظت فلوراید) بین ۱۳۰۰ تا ۱۵۰۰ ppmF باشد.

فلوراید مانع پوسیدگی دندان و باعث استحکام آن می‌شود

میزان فلوراید خمیردندان‌ها معمولا درقسمتی که ترکیبات آن نوشته شده، درج شده است. معمولا فلورایدهای خمیردندان‌های مخصوصا کودکان، کمتر از میزان لازم است. توصیه می‌کنیم برای جلوگیری از پوسیده‌شدن دندان‌ها به دندانپزشک مراجعه کنید تا در‌صورت وجود خطر پوسیدگی دندان‌های شما یا دندان‌های کودکتان، مصرف میزان بیشتری از فلوراید را برای شما تجویز کند. در‌صورتی‌که خمیردندان‌‌تان فلوراید کافی ندارد، می‌توانید از دهانشویه‌های حاوی فلوراید که به‌وفور در بازار یافت می‌شوند نیز استفاده کنید.

به‌دلیل اینکه پلاک دندان معمولا هم‌رنگ دندان و سفیدرنگ است، به‌سختی می‌توان آن را تشخیص داد. برای تشخیص راحت‌تر جرم دندان در نقاط مختلف و از‌بین‌بردن آن‌‌ها، می‌توانید از قرص‌های جویدنی مشخص‌کننده‌ی جرم دندان استفاده کنید که جرم دندان را به رنگ قرمز یا آبی درمی‌آورند و به این‌صورت جرم دندان شما کاملا آشکار می‌شود.

قرص مشخص کننده جرم دندان

پس از مسواک زدن باید یک عدد از این قرص‌ها را بجوید و سپس دهان خود را بشویید و پس از آن جرم‌هایی که با مسواک زدن ازبین‌ نرفته‌اند، کاملا مشخص می‌شوند. برای تشخیص بهتر این پلاک‌ها می‌توانید از آینه‌ی دندانپرشکی برای دیدن فضای داخلی دندان خود استفاده کنید که قیمت زیادی هم ندارد.

جرم دندان/ tooth plaque

مشخص شدن جرم دندان پس از استفاده از  این قرص

البته این قرص‌ها که در ایران هم با قیمت نسبتا زیادی عرضه می‌شوند، متنوع هستند و برخی‌از آن‌ها می‌توانند انواع مختلف پلاک و جرم را براساس مدت زمانی‌که در دهان باقی مانده‌‌اند، مشخص کنند. چنین قرص‌هایی معمولا پلاک‌هایی را که به‌تازگی تشکیل شده‌اند با رنگ قرمز، پلاک‌هایی را که مدت زمان زیادی باقی مانده‌اند با رنگ بنفش و پلاک‌های اسیدی آسیب‌زننده را با رنگ آبی مشخص می‌کنند.

به‌جای شستن دهان پس از مسواک زدن، آب دهان را بیرون بریزید

شستن دندان/ mouth washing

میزان ترشح بزاق دهان در شب نسبت به طول روز کاهش پیدا می‌کند و به‌دلیل اینکه بزاق دهان نوعی محافظ برای دندان محسوب می‌شود، دندان‌ها در شب بیشتر دربرابر آسیب اسیدها به آن‌ها آسیب‌پذیرتر هستند.

به‌ همین دلیل قبل از خواب باید ذرات غذا را از روی دهان خود پاک کنید تا باکتری‌های تولید‌کننده‌ی جرم در طول شب ضیافت برپا نکنند! شب‌ها پس از مسواک‌ زدن غیر از آب هیچ چیزی نخورید یا ننوشید. درضمن این کار باعث ایجاد بیشترین زمان برای تاثیرگذاری فلوراید می‌شود.

شب‌ها پس از مسواک زدن دهان خود را با آب نشویید

توصیه می‌کنیم پس از مسواک زدن دهان خود را آب یا دهانشویه‌ها نشویید و تنها مقداری از آب دهان خود را به بیرون بریزید؛ زیرا در‌صورتی‌که دهان خود را با آب بشویید، فلوراید نیز از آن خارج می‌شود. ممکن است ترک عادت شستن دندان‌ها کمی سخت باشد؛ اما این کار پوسیدگی دندان‌ها را تا ۲۵ درصد کاهش می‌دهد.

از مصرف زیاد شکر خودداری کنید

استفاده نکردن از شکر

شکرهای طبیعی شکرهایی هستند که در موادی مثل میوه‌ها یافت می‌شوند و آسیب آن‌ها به دندان‌ها به مراتب کمتر از شکرهای افزوده یا همان شکرهای معمولی است. شکرهای افزونه موادی هستند که کارخانه‌های مواد غذایی به موادی مثل عسل، شربت‌ها یا آبمیوه‌ها اضافه می‌کنند.

باکتری‌ها به‌راحتی می‌توانند با مصرف این نوع شکر و انجام سوخت‌وساز، انواع مختلف اسید را تولید کنند. البته مشخص کردن بدترین نوع شکر برای دندان‌ها کار دشواری است. به‌عنوان مثال باوجود اینکه مصرف میزان مشخصی از میوه برای انسان مفید است، اما آب میوه‌ها دارای مقادیری شکر آزادشده از سلول‌های میوه‌ها هستند که هضم سنگین آن‌ها موجب پوسیدگی دندان‌ها می‌شود.

سازمان بهداشت جهانی (WHO) و سرویس سلامت همگانی (NHS) توصیه کرده است میزان شکری که به بدن می‌رسد، در حالت ایده‌آل باید کمتر از ۵ درصد کالری جذب‌شده در بدن باشد. این میزان برای بزرگسالان و کودکان بالای ۱۱ سال، معادل ۳۰ گرم یا ۸ قاشق چای‌خوری شکر در روز است. یک بطری ۳۳۰ میلی‌لیتری نوشابه معمولا ۳۵ گرم شکر دارد.

با کمک اپلیکیشن Change4life scanner که برای سیستم‌عامل اندروید و ای او اس عرضه شده است (اپ اندروید را از اینجا و اپ ای او اس را از اینجا دانلود کنید)، می‌توانید با اسکن کردن بارکد مواد غذایی مختلف، از میزان شکر موجود در آن‌ها مطلع شوید. البته علاوه‌بر اینکه میزان مصرف روزانه شکر مهم است، تعداد دفعاتی که آن را مصرف می‌کنید نیز اهمیت دارد.

اپلیکیشن Change4life scanner

Change4life scanner اپلیکیشنی برای اطلاع از شکر موجود در مواد غذایی مختلف است

باکتری‌ها، شکرهای افزوده‌شده را درمقایسه‌با پروتئین یا کربوهیدرات‌های پیچیده، راحت‌تر جذب می‌کنند. همان‌طور که قبلا گفتیم، فعالیت باکتری‌ها پس از مصرف این نوع شکر و انجام سوخت‌و‌ساز، منجر به تولید‌های اسیدهایی می‌شود که مواد معدنی تشکیل‌دهنده‌ی دندان را از بین می‌برند.

خوشبختانه استفاده از خمیردندان حاوی فلوراید و ترمیم مقداری از مواد معدنی از‌دست‌رفته‌ی دندان‌ها با بزاق دهان، باعث می‌شود دندان‌ها درمقابل آسیب‌های ابتدایی اسید‌ها مقاوم شوند. درضمن نباید انواع شکر را بیش از حد مجاز مصرف کنید و به نظافت دندان‌های خود اهمیت زیادی دهید.

معمولا برای جلوگیری از آسیب شکر به‌ دندان، نباید بیش از ۴ واحد از آن را مصرف کنیم (میزان شکری که جذب بدن شما می‌شود)ِ؛ بنابراین از مصرف موادی مثل انواع بسکوییت، چای یا قهوه‌ی پرشکر و دیگر میان‌وعده‌های حاوی کربوهیدرات‌های تصفیه‌شده مثل چیپس خودداری کنید. بهترین راه برای کاهش مصرف شکر، استفاده‌ی کمتر از این ماده در نوشیدنی‌های داغ و اجتناب از مصرف میان‌وعده‌ها و تنقلات ناسالم پرشکر است.

در جمع‌بندی این مقاله باید بگوییم که دوبار مسواک زدن در روز، نشستن دهان با آب پس از مسواک زدن (پس از مسواک زدن تنها مقداری از بزاق دهان خود را به بیرون بریزید)، نخوردن یا ننوشیدن چیزی به‌غیر از آب پس از مسواک زدن و مصرف تنها ۴ واحد شکر در روز، بهترین روش‌ها برای افزایش سلامت دندان هستند.

نظرات