دانشمندان سرانجام دریافتند که مار پیتون چگونه استخوان را به‌طور کامل هضم می‌کند

دوشنبه 23 تیر 1404 - 21:55
مطالعه 4 دقیقه
ماری سبزرنگ دور شاخه‌ی درخت پیچیده است
سلول تازه‌ای در روده‌ی پیتون‌ها کشف شده که راز توانایی شگفت‌انگیزشان در هضم کامل استخوان‌های طعمه را برملا می‌کند

گوشت‌خواران روی زمین‌ که هنگام ضیافت از گوشت شکارشان با لذت تغذیه می‌کنند، معمولاً استخوان‌های سخت و غیرقابل‌خوردن را پشت سر می‌گذارند؛ درحالی‌که مارها می‌توانند آرواره‌های خود را از هم باز کنند تا طعمه‌شان را به‌طور کامل ببلعند. جانوران دیگر استخوان‌هایی را که قادر به تجزیه‌شان نیستند دفع می‌کنند یا بالا می‌آورند‌؛ اما اسکلت‌هایی که توسط مارها بلعیده می‌شوند، دیگر به شکل قابل‌شناسایی ظاهر نمی‌شوند.

اینکه دقیقاً بدن مارها چگونه توانایی شگفت‌انگیز هضم استخوان را دارد، تاکنون نامشخص باقی مانده بود. اکنون، دانشمندان نوعی سلول را که ناشناخته بوده، در روده‌ی پایتون برمه‌ای کشف کرده‌اند که به‌نظر می‌رسد به آن‌ها امکان می‌دهد استخوان‌های شکار خود را به‌طور کامل جذب کنند. این سلول‌ها در پردازش مقدار زیادی از کلسیم و فسفر که در غیر این صورت سیستم بدن مار را از تعادل خارج می‌کرد، نقش دارند.

ژهان-هروه لینیو، زیست‌شناس دانشگاه مون‌پلیه در فرانسه، می‌گوید: «تحلیل ریخت‌شناسی از اپی‌تلیوم پیتون، ذرات ویژه‌ای را آشکار کرد که هرگز در سایر مهره‌داران ندیده بودم. برخلاف سلول‌های انتروسیت (جذب‌کننده) معمولی، این سلول‌ها بسیار باریک‌اند، ریزپرزهای کوتاه دارند و تاخوردگی رأسی آن‌ها حفره ایجاد می‌کند.»

رفتار خوردن استخوان، که به آن استخوان‌خواری گفته می‌شود، تنها در تعداد کمی از گونه‌های جانوری به‌صورت عمدی مشاهده شده است. این رفتار معمولاً با نیاز بدن به فسفر و کلسیم مرتبط است. در حقیقت، مارهایی که در اسارت تنها با غذای بدون استخوان تغذیه می‌شوند، دچار کمبود کلسیم می‌شوند؛ بنابراین وجود اسکلت در رژیم غذایی مارها ظاهراً بخشی حیاتی به‌شمار می‌آید.

نوعی سلول تخصص‌یافته به مار اجازه می‌دهد استخوان‌ها را مصرف کند

اما اگر جذب کلسیم در رژیم غذایی مار بدون محدودیت انجام شود، ممکن است جریان خون مار دچار بار اضافی شود. لینیو توضیح می‌دهد: «ما می‌خواستیم بفهمیم آن‌ها چگونه می‌توانند این جذب عظیم کلسیم از طریق دیواره‌ی روده را پردازش و کنترل کنند.»

محققان با بهره‌گیری از میکروسکوپ نوری و الکترونی، سلول‌های روده‌ای (انتروسیت‌ها) را که دیواره‌ی روده‌ی پایتون‌های برمه‌ای را می‌پوشانند، مورد بررسی قرار دادند. آن‌ها همچنین از مارهایی که در حالت روزه‌داری بودند، یا با طعمه‌ی معمولی تغذیه شده بودند، یا موش‌های بدون استخوان دریافت کرده بودند، نمونه‌هایی از خون برای اندازه‌گیری هورمون‌ها و میزان کلسیم برداشتند. نتایج، نوعی سلول تخصص‌یافته را آشکار کرد که به مار امکان می‌دهد استخوان‌ها را شکسته، جذب و در بدن مصرف کند.

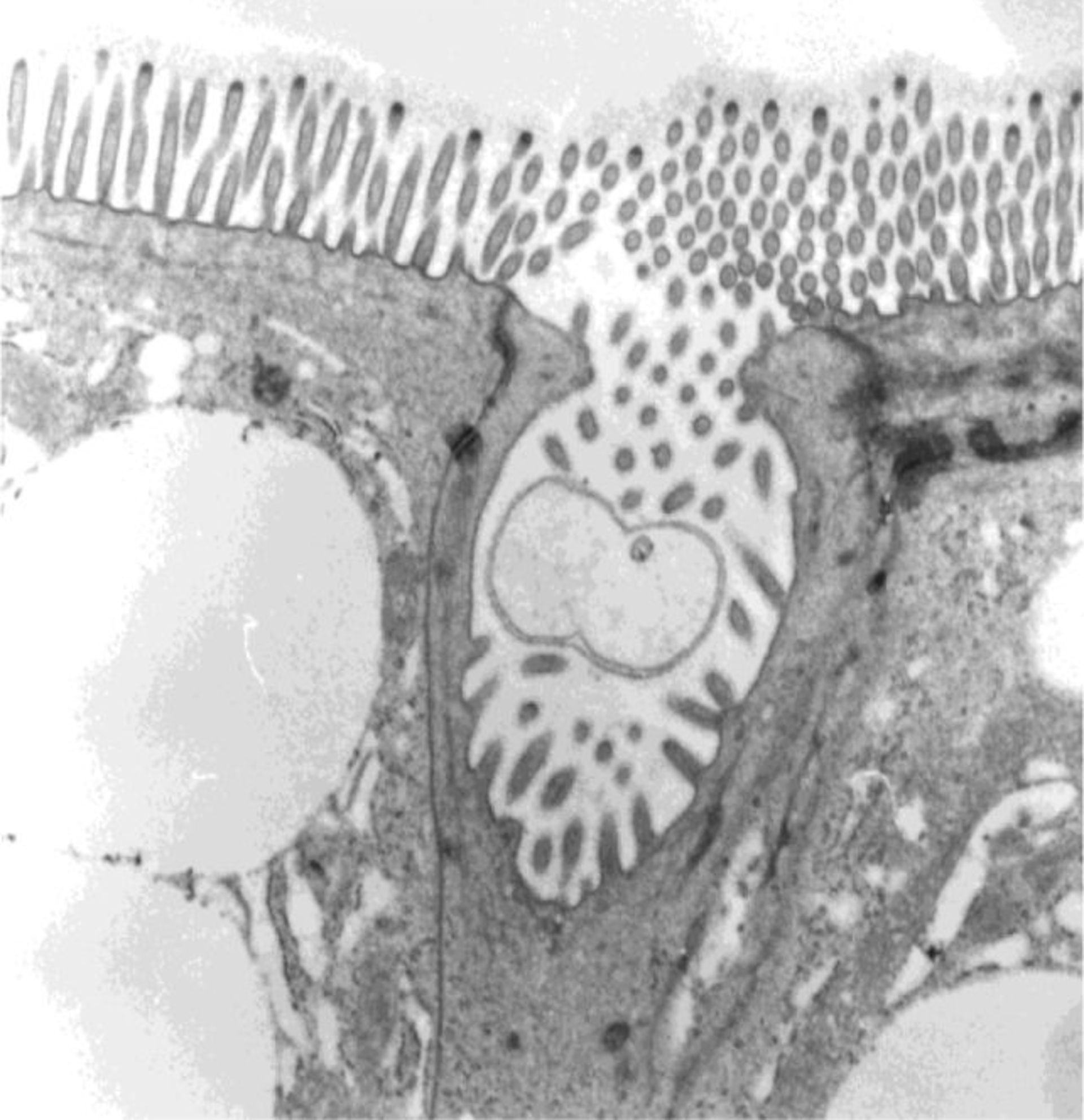
سلول روده‌ای پیتون برمه‌ای با حفره‌ی رأسی و ذره‌ای درون آن
یک سلول روده‌ای پیتون برمه‌ای با حفره‌ی رأسی و ذره‌ای درون آن
تصویر میکروسکوپ الکترونی عبوری از ذره‌ای که در یک حفره‌ی رأسی یافت شده است
تصویر میکروسکوپ الکترونی عبوری از ذره‌ای که در یک حفره‌ی رأسی یافت شده است.

محققان در مقاله‌ی خود می‌نویسند: «این سلول‌ها[ی تازه کشف‌شده] دارای حفره‌ای رأسی هستند که ذره‌ای چندلایه در مرکز آن قرار دارد؛ این ذره از عناصر غنی از کلسیم، فسفر و آهن ساخته شده است. در مارهایی که در حال روزه‌داری هستند، این نوع سلول دارای حفره‌هایی خالی است. زمانی که مارها با طعمه‌ی بدون استخوان تغذیه می‌شوند، این نوع سلول، ذره‌ای تولید نمی‌کند، هرچند عناصر آهن درون حفره‌ها دیده می‌شوند. اما هنگامی که به وعده‌ی غذایی بدون استخوان، مکمل کلسیم افزوده می‌شود، ذرات بزرگی، حفره‌ها را پُر می‌کنند.»

علاوه بر این، در مدفوع پایتون‌ها هیچ استخوان یا ذره‌ای از استخوان یافت نشد؛ موضوعی که نشان می‌دهد اسکلت طعمه به‌طور کامل هضم می‌شود. محققان دریافتند ذرات موجود در حفره‌های سلول‌ها، پس از آن‌که بدن مار تمام مواد مورد نیازش را از استخوان‌های کاملاً حل‌شده جذب کرده، به عنوان مواد اضافی باقی می‌مانند. به‌نظر می‌رسد عملکرد این سلول‌های تازه‌کشف‌شده، جدا کردن و دفع مازاد کلسیم و فسفرِ حل‌شده باشد.

محققان در داده‌هایی که هنوز منتشر نشده‌اند، همین نوع سلول را در خزندگان دیگری نیز شناسایی کرده‌اند؛ از جمله: بوا معمولی، آناکوندای سبز، پایتون خونی، پایتون مشبک، پایتون صخره‌ای آفریقای مرکزی و پایتون فرش. همچنین هیولای هیلا نیز دارای این سلول‌ها است.

یافته‌های جدید نشان می‌دهند که سلول‌های تخصصی کشف‌شده ممکن است پیش از جدایی گونه‌ها تکامل یافته باشند، یا اینکه به‌طور مستقل، چندین‌بار در جانوران مختلف به وجود آمده باشند. محققان بر این باورند که مطالعه‌ی سایر جانورانی که استخوان می‌خورند و طعمه‌ی خود را به‌صورت کامل می‌بلعند، می‌تواند سرنخ‌های بیشتری به دست دهد.

لینیو می‌گوید: «شکارچیان دریایی که ماهیان استخوان‌دار یا پستانداران آبزی را می‌خورند، باید با همین مسئله روبه‌رو باشند. پرندگانی که عمدتاً از استخوان تغذیه می‌کنند، مانند کرکس ریش‌دار، نیز می‌توانند گزینه‌های بسیار جالبی برای بررسی باشند.»

مطالعه در Journal of Experimental Biology منتشر شده و در کنفرانس سالانه‌ی Society for Experimental Biology در بلژیک ارائه شده است.