اثر ماندگار آزمایش بمب‌های اتم در بدن ما

چهارشنبه 25 مرداد 1402 - 17:00
مطالعه 7 دقیقه
انفجار بمب اتمی
آزمایش‌ جنگ‌افزارهای هسته‌ای در میانه قرن بیستم، میراثی پنهان درون سلول‌های ما و بیشتر موجودات زنده روی زمین بر جای گذاشت.
تبلیغات

اثر ناشی از آزمایش بمب اتم در دندان‌ها، چشم‌ها و همچنین مغز شما وجود دارد. دانشمندان این نشانه را «پالس بمب» می‌نامند و بیش از یک قرن است که درون بدن انسان وجود دارد. پالس بمب به‌طور کلی به افزایش ناگهانی کربن ۱۴ در جو زمین دراثر آزمایش‌های هسته‌ای متعدد اشاره دارد.

در دهه‌ی ۱۹۵۰، بمب‌های هسته‌ای فراوانی بالای سطح زمین منفجر شد که ترکیب شیمیایی اتمسفر را تغییر داد. این انفجارها ترکیب ارگانیسم‌های زنده، اقیانوس‌ها، رسوبات و استالاکتیت‌ها (ستونی از مواد معدنی که به شکل قندیل از سقف غار آویخته است) را دستخوش تغییر کرد.

برخلاف ذرات رادیواکتیو مستقیم ناشی از انفجارها، پالس بمب خطرناک نیست و در سال‌های اخیر حتی برای دانشمندان مفید واقع شده است. شواهد پالس بمب چنان فراگیر است که می‌تواند به دانشمندان پزشکی قانونی بگوید یک فرد چه زمانی متولد شده یا از دنیا رفته است، بینش‌هایی درزمینه‌ی سن نورون‌های درون مغز ارائه دهد، منشا حیوانات وحشی شکارشده را آشکار کند و حتی سن واقعی کوسه‌های چند صد ساله را مشخص کند.

پالس بمب ممکن است به تعریف دوره زمین‌شناسی جدیدی نیز کمک کند. در ماه ژوئیه، گروهی از دانشمندان علوم زمین پیشنهاد کردند که وجود پالس بمب در دریاچه‌ای در کانادا (همراه سایر نشانگرهای ساخت بشر مربوط به اواسط قرن بیستم)، باید به‌عنوان نماد شروع رسمی دوره آنتروپوسن درنظر گرفته شود. اما پالس بمب چیست و چه مسائلی را درمورد ما و جهان آشکار می‌کند؟

پالس بمب چیست؟

قبل از اینکه پیمان منع آزمایش‌های هسته‌ای در سال ۱۹۶۳، کشورهای امضاکننده را ملزم کند که آزمایش بمب‌های هسته‌ای را زیر زمین انجام دهند، دولت‌ها صدها سلاح اتمی را در فضای باز منفجر کردند. محتویات بیش از ۵۰۰ بمب هسته‌ای که عمدتا توسط ایالات متحده و شوروی منفجر شد، به اتمسفر راه پیدا کرد.

به‌خوبی ثابت شده است که آزمایش‌های هسته‌ای، مواد رادیواکتیو را در سرتاسر جهان پخش می‌کند، به انسان‌ها و حیات وحش آسیب می‌رساند و بسیاری از مناطق را سکونت‌ناپذیر می‌کند. این بمب‌ها همچنین با نیتروژن طبیعی واکنش می‌دهند و ایزوتوپ‌های جدید به‌ویژه کربن ۱۴ را می‌سازند.

آدمک آزمایش هسته ای فرانسه
آدمک‌هایی که قبل از سومین آزمایش بمب اتم فرانسه در سال ۱۹۶۰ در الجزایر برپا شدند.

در دهه ۱۹۶۰، در نتیجه‌ی آزمایش بمب‌های هسته‌ای روی زمین، مقدار کربن ۱۴ در اتمسفر تقریبا به دو برابر سطوح قبل رسیده بود. ایزوتوپ کربن ۱۴ وارد آب، رسوبات و گیاهان شد و سپس از راه زنجیره غذایی به انسان‌ها منتقل شد. کربن ۱۴ حتی به ارگانیسم‌هایی که در عمیق‌ترین گودال اقیانوسی جهان زندگی می‌کنند، رسیده است.

دانشمندان با اندازه‌گیری کربن ۱۴ در دندان‌ها، استخوان‌ها و مو می‌توانند سن فرد یا زمان مرگ او را تخمین بزنند

در میانه‌ی قرن بیستم، وقتی آزمایش بمب‌های هسته‌ای متوقف شد، دانشمندان متوجه افزایش کربن ۱۴ شدند، اما چند دهه طول کشید تا دریابند که سطوح بالای این ایزوتوپ می‌تواند کاربردهایی داشته باشد. دانشمندان از دهه ۱۹۵۰ از کربن ۱۴ برای تاریخ‌گذاری بقایای عصر پارینه‌سنگی یا متون باستانی استفاده می‌کنند. روش آن‌ها که به «تاریخ‌گذاری رادیوکربن» معروف است، مبتنی‌بر واپاشی رادیواکتیو کربن ۱۴ است.

کربن ۱۴ ناپایدار است و با نیمه‌عمر ۵۷۳۰ سال، به آرامی به نیتروژن وامی‌پاشد. برای مثال، فرض کنید در گذشته یک نئاندرتال مرده است. مقدار کربن ۱۴ در استخوان‌ها و دندان‌های او به تدریج کم می‌شود. دانشمندان می‌توانند با اندازه‌گیری میزان این کاهش زمان مرگ نئاندرتال را مشخص کنند.

بااین‌حال، سرعت پایین واپاشی ایزوتوپ کربن ۱۴، تاریخ‌گذاری رادیوکربن را به نمونه‌هایی محدود می‌کند که بیش از ۳۰۰ سال قدمت دارند. اگر نمونه جوان باشد، ایزوتوپ به اندازه کافی تحت فرایند واپاشی قرار نگرفته است تا بتوان به‌طور دقیق قدمت آن را تعیین کرد. در اواخر قرن، پژوهشگران دریافتند که پالس بمب می‌تواند به آن‌ها کمک کند تا از کربن ۱۴ به روش متفاوتی استفاده کنند و امکان تاریخ‌گذاری ۷۰ تا ۸۰ سال گذشته ممکن شد.

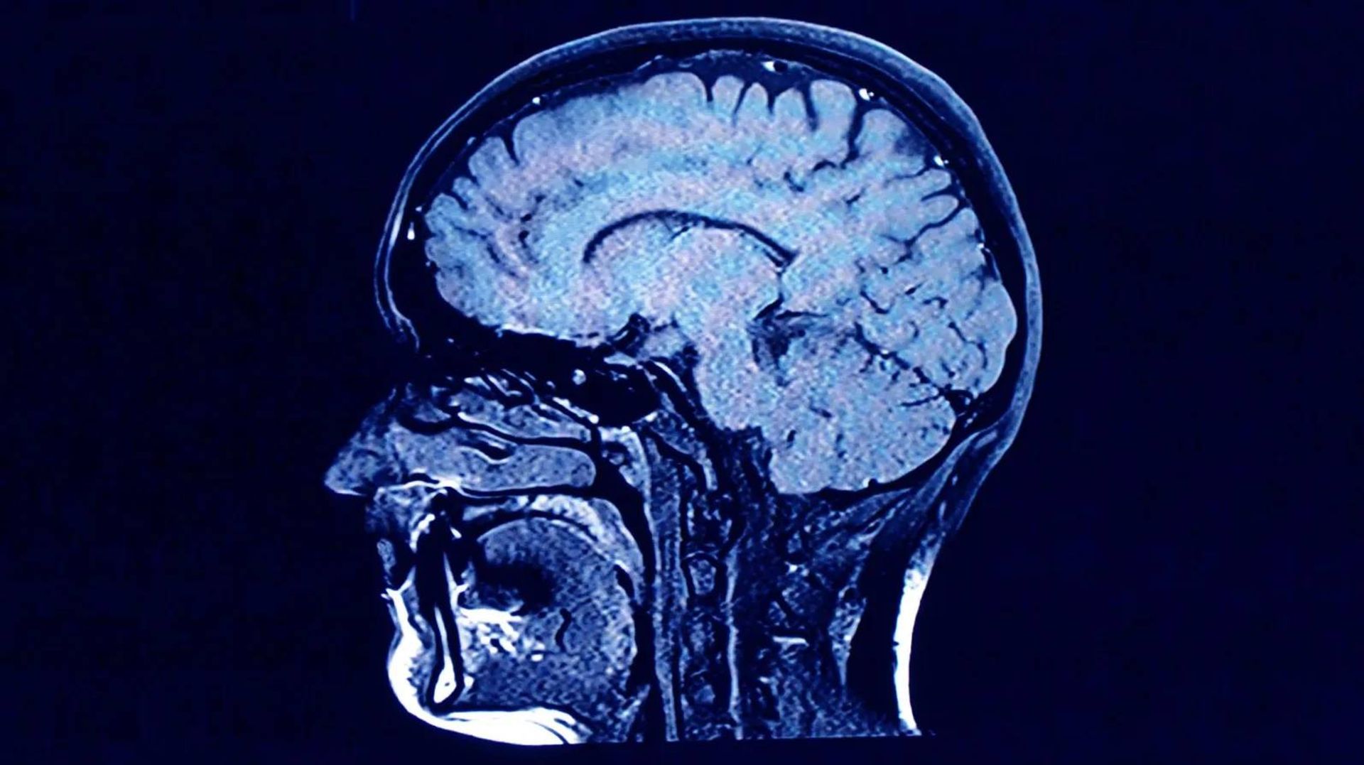
نورون و مغز
آیا ما در بزرگسالی نورون‌های جدید تولید می‌کنیم؟ پالس بمب به یافتن پاسخ این سوال کمک کرده است.

سطوح ایزوتوپ کربن ۱۴ از زمان اوج خود در دهه‌ی ۱۹۵۰، در طبیعت (و در بدن انسان‌ها) به تدریج کاهش پیدا کرده است. بنابراین، دانشمندان می‌توانند نسبت کربن ۱۴ را در هر ماده آلی که از زمان انجام آزمایش‌ها با کربن اتمسفری تبادل داشته است، مشخص کنند و با وضوح یکی دو سال زمان تشکیل آن ماده را تخمین بزنند.

تخمین زمان تشکیل مواد آلی شامل ما انسان‌ها نیز می‌شود. اگر در دهه‌ی ۱۹۵۰ به دنیا آمده باشید، نسبت‌به فرد متولد دهه‌ی ۱۹۸۰، کربن ۱۴ بیشتری در بافت‌های بدن شما وجود خواهد داشت. البته سطوح این ایزوتوپ درحال نزدیک شدن به سطوح پیش از انفجار بمب‌های اتم است.

تجزیه‌وتحلیل پزشکی قانونی

یکی از اولین کاربردهای پالس بمب کمک به بازرسان جنایی بود که می‌خواستند سن بقایای انسانی ناشناس را مشخص کنند. دانشمندان پزشکی قانونی می‌توانند کربن ۱۴ بمب را در دندان‌ها، استخوان‌ها، مو یا حتی عدسی چشم‌ها اندازه‌گیری کنند تا بتوانند سن فرد یا زمان مرگ او را تخمین بزنند.

در مطالعه‌ای مروری که سال ۲۰۱۹ منتشر شد، به نمونه‌های متعددی اشاره می‌شود که در آن پالس بمب به تحقیقات پلیس کمک کرده است. برای مثال، در سال ۲۰۱۰ کارآگاه‌ها به کمک آن تایید کردند جسدی که در دریاچه‌ای در شمال ایتالیا پیدا شده، سال قبل توسط قاتل در آن‌جا انداخته شده بود.

دانستن مدت زمانی که از مرگ گذشته است، می‌تواند در موارد نقض حقوق بشر مانند جنایات جنگی، نسل‌کشی و قتل‌های فراقضایی بسیار تعیین‌کننده باشد. برای مثال، در سال ۲۰۰۴ بازرسان از تاریخ‌گذاری مبتنی بر پالس بمب استفاده و نمونه‌های مو را از گور جمعی در اوکراین بررسی کردند. آن‌ها توانستند جنایت جنگی نازی‌ها را که بین سال‌های ۱۹۴۱ تا ۱۹۵۲ رخ داده بود، شناسایی کنند.

پالس بمب همچنین بینش‌های جدیدی را در مورد سلول‌های بدن و مغز ما ارائه می‌کند که در ادامه به چند مورد اشاره می‌شود.

پژوهشگران به کمک آثار بمب‌های اتم در بدن انسان نشان دادند در بزرگسالی عصب‌زایی اتفاق می‌افتد

در سال ۲۰۰۵، پژوهشگران موسسه کارولینسکا در سوئد نشان دادند که می‌توان سن نسبی سلول‌ها را با تجزیه‌و‌تحلیل کربن ۱۴ درون DNA سلول‌ها تعیین کرد. آن‌ها همچنین از این تکنیک برای پاسخ‌دادن به این سوال استفاده کردند که آیا برخی از سلول‌های درون بدن ما از زمان تولد باقی می‌مانند یا به‌طور مداوم سلول‌های تازه جای آن‌ها را می‌گیرند.

پژوهشگران در سال ۲۰۰۸ نشان دادند که وقتی آدیپوسیت‌ها (سلول‌های چربی) در بدن می‌میرند، با سلول‌های جدید جایگزین می‌شوند. آن‌ها متوجه شدند تعداد این سلول‌های چربی در بزرگسالی ثابت می‌ماند. این یافته نویدبخش راه‌های جدید برای مقابله با چاقی است.

در سال ۲۰۱۳، پژوهشگران از پالس بمب برای بررسی ترن‌آور (جایگزینی سلول‌های قدیمی با جدید) سلول‌های مغزی استفاده کردند. برای سال‌های متمادی، پژوهشگران تصور می‌کردند تعداد نورون‌ها در دوران کودکی ثابت می‌شود. در واقع پژوهش‌های گذشته نشان داده بود در مناطقی مانند قشر مغز این مورد صادق است. بااین‌حال با استفاده از کربن ۱۴ برای تعیین سن نورون‌های هیپوکامپ مشخص شد که ممکن است در بزرگسالی نورون‌های تازه‌ای در هیپوکامپ تولید شود.

عصب‌زایی در بزرگسالی یکی از مهم‌ترین اکتشافات علم عصب‌شناسی در ۲۰ سال گذشته است. درحالی‌که هنوز نادانسته‌های زیادی وجود دارد، این اکتشاف می‌تواند به ایجاد استراتژی‌هایی برای جلوگیری از تخریب نورون‌ یا حتی تولید نورون‌های جدید کمک کند.

طلوع عصر جدید

پالس بمب به‌تازگی به‌عنوان یکی از چندین نشانگر مطرح شد که می‌تواند به تعریف رسمی زمان آغاز عصر آنتروپوسن کمک کند. آنتروپوسن، عصر جدید زمین‌شناسی است که توسط فعالیت‌های انسانی تعریف می‌شود.

برخی کارشناسان معتقدند تاثیرات عمیق انسان بر کره زمین خیلی زودتر از دهه‌ی ۱۹۵۰ آغاز شده است

اندکی پس از مطرح شدن ایده آنتروپوسن، زمین‌شناسان به بحث در‌این‌باره پرداختند که کدام نماد را به‌عنوان نشانه آغاز آنتروپوسن در نظر بگیرند. هر دوره اصلی زمین‌شناسی یکی از این نمادها را دارد. نشانگر آغاز هولوسن هسته یخ خاصی در مرکز گریلند است. نماد عصر ژوراسیک در کوه‌های آلپ اتریش قرار دارد که در آن آمونیت‌های دارای پوسته صاف برای اولین بار ظاهر شدند. نماد آغاز دوره ادیاکاران (بیش از ۶۰۰ میلیون سال پیش) در کوه‌های فلیندرز استرالیا قرار دارد.

هسته رسوبی دریاچه
دانشمندی برای نشان دادن دوره آنتروپوسن به نمونه‌ای از هسته رسوبی در دریاچه کرافورد کانادا اشاره می‌کند.

آثار مختلفی از فعالیت‌های انسانی به عنوان نماد آغاز عصر آنتروپوسن مورد بررسی قرار گرفته است: افزایش متان ناشی از کشاورزی اولیه در هزاران سال پیش (که در هسته‌های یخ قابل مشاهده است)، شواهد آلودگی اولیه سرب ناشی از معدن‌کاری و گداختن سنگ‌ها در ۳ هزار سال پیش یا افزایش محصولات جانبی سوخت‌های فسیلی در طول انقلاب صنعتی.

در سال ۲۰۱۶، کارگروه آنتروپوسن (بخشی از سازمانی که مسئولیت این تصمیم‌گیری را بر عهده دارد)، دهه‌ی ۱۹۵۰ را پیشنهاد کرد. در این دهه کربن ۱۴ همراه سایر نشانگرهای هسته‌ای مانند ذرات رادیواکتیو پلوتونیوم و ایزوتوپ‌هایی مانند سزیم ۱۳۷ و استرانسیوم ۹۰ و همچنین رسوبات حاصل از فعالیت بشر مانند ذرات کربن‌دار کروی وارد سوابق زمین‌شناسی شد. ذرات کربن‌دار کروی درنتیجه‌ی سوزاندان زغال‌سنگ در دمای بالا تولید می‌شود.

همه کارشناسان با انتخاب دهه‌ی ۱۹۵۰ به عنوان آغاز عصر آنتروپوسن موافق نیستند. یکی از اعضای گروه که اخیرا در اعتراض به تصمیم‌گیری مذکور استعفا داد، استدلال کرد تاثیرات عمیق انسانی خیلی زودتر از دهه‌ی ۱۹۵۰ شروع شده است.

کارگروه آنتروپوسن پیشنهاد می‌کند که اوسط قرن بیستم علامت آشکاری در لایه‌های زمین‌شناسی برجای گذشته است. آن‌ها می‌گویند این زمان همچنین مقارن با «شتاب بزرگ» است که در آن تاثیر ما بر سیاره ازطریق افزایش تصاعدی در انتشار گازهای گلخانه‌ای، استفاده از آب و زمین، اسیدی‌شدن اقیانوس‌ها، صید ماهی‌ها، تخریب جنگل‌های گرمسیری و موارد دیگر به شدت افزایش یافت.

دریاچه کرافورد کانادا
دانشمندان دریاچه کرافورد کانادا را به‌عنوان نماد آغاز دوره آنتروپوسن پیشنهاد کرده‌اند.

کارشناسان دوازده مکان کاندیدا را مورد مطالعه قرار داده‌اند که آثار آغاز دوره آنتروپوسین را در بر دارند: غاری در ایتالیا که در آن پالس بمب و سایر نشانگرها در استالاکتیت‌ها به دام افتاده‌اند، محوطه باستان‌شناسی در وین، باتلاقی در نزدیکی مرز جمهوری چک و لهستان و صخره‌ای مرجانی در ساحل شمال شرقی استرالیا.

ماه گذشته سرانجام برنده اعلام شد: دریاچه کرافورد در کانادا. اکنون، هسته‌ای از رسوبات دریاچه که حاوی کربن ۱۴، نشانگر افزایش ناگهانی پلوتونیوم و سایر آثار ناشی از انسان است، در موزه‌ای در اتاوا پایتخت کانادا نگهداری می‌شود.

اگر هسته دریاچه که حاوی کربن ۱۴ است، به‌عنوان نماد آغاز عصر آنتروپوسن تایید شود، به این معنا است که ما نیز یکی از نشانگرهای سپیده‌دم آنتروپوسن را در سلول‌های خود داریم. نسل‌های آینده این نشانگر را نخواهند داشت، زیرا مقدار کربن ۱۴ به سطح قبلی خود بازگشته است. بنابراین، اگر باستان‌شناسان در آینده به‌طور اتفاقی بقایای بدن حفظ شده ما را مطالعه کنند، ممکن است بینشی درمورد دوران بمب‌های هسته‌ای، شتاب بزرگ و قرنی که تاثیر انسان بر طبیعت به شکل بی‌سابقه‌ای آغاز شد، به دست آورند.

تبلیغات
تبلیغات

نظرات